8 мс. назад
8 мс. назад
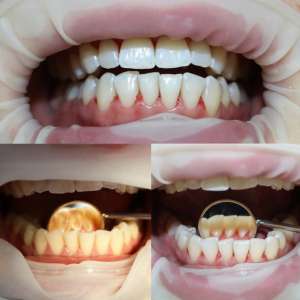
Я врач стоматолог/терапевт со стажем работы 7 лет❗
Приглашаю моделей для пополнения портфолио работ.
У вас есть уникальная возможность сделать гигиену полости рта, реставрацию зубов, отбеливание и многое другое по себестоимости!
Оплата только за расходный материал❗
❗Профессиональная гигиена полости рта, (Ультразвуковая чистка, аэр флоу, полировка щеточками с пастой, очистка и полировка межзубных промежутков) - 3000❗
Открыта запись на 2 марта
9:00
11:30
14:00
Пишите мне в личные сообщения ВК или ТГ Margaritulya
https://vk.com/e_margarita
Приглашаю моделей для пополнения портфолио работ.
У вас есть уникальная возможность сделать гигиену полости рта, реставрацию зубов, отбеливание и многое другое по себестоимости!
Оплата только за расходный материал❗
❗Профессиональная гигиена полости рта, (Ультразвуковая чистка, аэр флоу, полировка щеточками с пастой, очистка и полировка межзубных промежутков) - 3000❗
Открыта запись на 2 марта
9:00
11:30
14:00
Пишите мне в личные сообщения ВК или ТГ Margaritulya
https://vk.com/e_margarita
Показать больше
8 мс. назад
🚇 ТАГАНСКАЯ (от метро 1 мин)🔥
МАНИКЮР + ГЕЛЬ ЛАК KOSMO💥799💥
▫“ВСЕ ВКЛЮЧЕНО“👉🏻 Снятие маникюр комби/аппаратный+гель-лак Cosmo/Elpazo+выравнивание базой=⃣⃣⃣⃣₽
...........................................
▫ “ВСЕ ВКЛЮЧЕНО“ Снятие,маникюр комби/аппаратный+гель-лак Luxio+выравнивание базой=⃣⃣⃣⃣₽
...........................................
Наращивание ногтей
✔s ………….2400₽
✔m…………2600₽
✔L………….2999₽
————снятие 200₽
———-одноразовый набор 50₽
КОМПЛЕКС КОМБИНИРОВАННЫЙ АППАРАТНЫЙ
✔маникюр + гель лак Cosmo
✔педикюр + гель лак Cosmo =⃣⃣⃣⃣₽
КОМПЛЕКС “ВСЕ ВКЛЮЧЕНО“
Снятие маникюр +педикюр комби/аппаратный+выравнивание+гель лак
Cosmo/Elpazo=⃣⃣⃣⃣₽
НАРАЩИВАНИЕ РЕСНИЦ
✔1 D ……………….1400₽
✔2D………………..1600₽
✔3D………………..1900₽
Метро:Таганская (от метро 1 мин)
Улица:Большие Каменщики, 1
Для записи ⤵
📩в Direct
📲What’sApp +7(926)138-28-63
МАНИКЮР + ГЕЛЬ ЛАК KOSMO💥799💥
▫“ВСЕ ВКЛЮЧЕНО“👉🏻 Снятие маникюр комби/аппаратный+гель-лак Cosmo/Elpazo+выравнивание базой=⃣⃣⃣⃣₽
...........................................
▫ “ВСЕ ВКЛЮЧЕНО“ Снятие,маникюр комби/аппаратный+гель-лак Luxio+выравнивание базой=⃣⃣⃣⃣₽
...........................................
Наращивание ногтей
✔s ………….2400₽
✔m…………2600₽
✔L………….2999₽
————снятие 200₽
———-одноразовый набор 50₽
КОМПЛЕКС КОМБИНИРОВАННЫЙ АППАРАТНЫЙ
✔маникюр + гель лак Cosmo
✔педикюр + гель лак Cosmo =⃣⃣⃣⃣₽
КОМПЛЕКС “ВСЕ ВКЛЮЧЕНО“
Снятие маникюр +педикюр комби/аппаратный+выравнивание+гель лак
Cosmo/Elpazo=⃣⃣⃣⃣₽
НАРАЩИВАНИЕ РЕСНИЦ
✔1 D ……………….1400₽
✔2D………………..1600₽
✔3D………………..1900₽
Метро:Таганская (от метро 1 мин)
Улица:Большие Каменщики, 1
Для записи ⤵
📩в Direct
📲What’sApp +7(926)138-28-63
Показать больше
8 мс. назад
💞Девочки! ОПЫТНЫЙ КОСМЕТОЛОГ расширяет портфолио!
🍀Косметология класса А ЗА РАСХОДНИКИ!
🌹УЛЬТРАЗВУКОВАЯ ЧИСТКА ЛИЦА В ЧЕТЫРЕ ЭТАПА:
- демакияж
- холодное распаривание
- чистка ультразвуком
- индивидуальный уход по типу кожи
🍀СТОИМОСТЬ: 900 рублей!
СЕЗОН ПИЛИНГОВ:
Пилинг с эффектом биоревитализанта (очищает, омолаживает)
Пилинг молочный (против акне, для молодой кожи до 30 лет)
Black Carbon Peel с пептидами (против акне, комедонов, для зрелой кожи)
🍀СТОИМОСТЬ ЛЮБОГО ПИЛИНГА - 900 рублей!
❤КОМБИНИРОВАННАЯ ЧИСТКА ЛИЦА В ШЕСТЬ ЭТАПОВ:
- демакияж
- холодное распаривание
- чистка ультразвуком
- механическая чистка лица
- закрытие пор
- индивидуальный уход по типу кожи
🍀СТОИМОСТЬ: 2000 рублей!
🚇м. Курская, 10 минут пешком от метро
🖊запись ТОЛЬКО по телефону 89588150234
Имеются противопоказания, необходимо проконсультироваться с врачом
🍀Косметология класса А ЗА РАСХОДНИКИ!
🌹УЛЬТРАЗВУКОВАЯ ЧИСТКА ЛИЦА В ЧЕТЫРЕ ЭТАПА:
- демакияж
- холодное распаривание
- чистка ультразвуком
- индивидуальный уход по типу кожи
🍀СТОИМОСТЬ: 900 рублей!
СЕЗОН ПИЛИНГОВ:
Пилинг с эффектом биоревитализанта (очищает, омолаживает)
Пилинг молочный (против акне, для молодой кожи до 30 лет)
Black Carbon Peel с пептидами (против акне, комедонов, для зрелой кожи)
🍀СТОИМОСТЬ ЛЮБОГО ПИЛИНГА - 900 рублей!
❤КОМБИНИРОВАННАЯ ЧИСТКА ЛИЦА В ШЕСТЬ ЭТАПОВ:
- демакияж
- холодное распаривание
- чистка ультразвуком
- механическая чистка лица
- закрытие пор
- индивидуальный уход по типу кожи
🍀СТОИМОСТЬ: 2000 рублей!
🚇м. Курская, 10 минут пешком от метро
🖊запись ТОЛЬКО по телефону 89588150234
Имеются противопоказания, необходимо проконсультироваться с врачом
Показать больше
8 мс. назад
Уважаемые девушки😻
Я Анна, начинающий мастер лешмейкер.
🧡🧡🧡
Приглашаю моделей на наращивание ресниц и ламинирование ресниц/бровей.
Модели нужны на объемное наращивание 2D-эффект L и M
3D✅-Длины и эффекты на ваше усмотрение.
Оплата за материал 1000 рублей.
Время наращивание 3 часа.
Модели нужны на ламинирование ресниц/бровей.
Обязательно учитывайте,чтобы с даты последнего ламинирования прошел месяц✅
Оплата 500-600 рублей 60-90 минут(окрашивание ресниц в 🎁)
ⓂБелорусская
WA 79673700030
Я Анна, начинающий мастер лешмейкер.
🧡🧡🧡
Приглашаю моделей на наращивание ресниц и ламинирование ресниц/бровей.
Модели нужны на объемное наращивание 2D-эффект L и M
3D✅-Длины и эффекты на ваше усмотрение.
Оплата за материал 1000 рублей.
Время наращивание 3 часа.
Модели нужны на ламинирование ресниц/бровей.
Обязательно учитывайте,чтобы с даты последнего ламинирования прошел месяц✅
Оплата 500-600 рублей 60-90 минут(окрашивание ресниц в 🎁)
ⓂБелорусская
WA 79673700030
Показать больше
8 мс. назад
Мастер с 5летним стажем.
Инструменты стерильны, вскрываются при клиенте.
Наборы с пилочками одноразовые.
Более 100 цветов гель-лака и более 25 цветов обычных лаков.
Гарантия 10дней.
Пока работаю без предоплаты.
Всегда нахожу удобное время и дату для клиента 💐
* Маникюр 800
* Педикюр 1500
* Сн шеллака 300
* Сн лака 50
* Покрытие шеллак 1500
* Покрытие лак( кинетикс) 750
* Маник шел 2200
* Педик шел 2600
* Маник лак 1200
* Пед лак 2000
* Дизайн от 50р в зависимости от сложности 🌺
5% если придете с подругой
5% на первое посещение
10% за отзыв
По всем вопросам обращаться в телеграмм +79091594555
Инструменты стерильны, вскрываются при клиенте.
Наборы с пилочками одноразовые.
Более 100 цветов гель-лака и более 25 цветов обычных лаков.
Гарантия 10дней.
Пока работаю без предоплаты.
Всегда нахожу удобное время и дату для клиента 💐
* Маникюр 800
* Педикюр 1500
* Сн шеллака 300
* Сн лака 50
* Покрытие шеллак 1500
* Покрытие лак( кинетикс) 750
* Маник шел 2200
* Педик шел 2600
* Маник лак 1200
* Пед лак 2000
* Дизайн от 50р в зависимости от сложности 🌺
5% если придете с подругой
5% на первое посещение
10% за отзыв
По всем вопросам обращаться в телеграмм +79091594555
Показать больше
8 мс. назад
🎄КРАСОТКИ!!! ПРИВОДИМ ФИГУРУ В ПОРЯДОК ПОСЛЕ НГ 2025!
🌲Убираем животики, бока, галифе, ягодицы и становимся конфетками! ЦЕНЫ 2020 года!
МАССАЖ, 60 минут:
💚Классика (упор на спину) - 1 800
💚Турецкая классика (упор на ноги) - 1 800
💚Лимфодренаж (убираем отёчность) - 1 800
💚Релакс (мягкое расслабление) - 1 800
КОРРЕКЦИЯ ФИГУРЫ:
🍀Кавитация (разрушает жир), 30 мин – 900
🍀ЕМС (пассивная накачка мышц), 30 мин – 900
🍀RF-лифтинг (подтягивает кожу), 30 мин – 900
🍀Инъекционная карбокситерапия СО2, (омолаживает, подтягивает кожу, разрушает жир), одна зона – 1500
КОМБО:
✅Кавитация+ЕМС – 1500 вместо 1800
✅Кавитация+RF-лифтинг – 1500 вместо 1800
✅ЕМС+RF-лифтинг – 1500 вместо 1800
✅ Кавитация+ЕМС+инъекционная карбокситерапия – 2500 вместо 3300
✅Кавитация+RF-лифтинг+инъекционная карбокситерапия – 2500 вместо 3300
✅ЕМС+RF-лифтинг+инъекционная карбокситерапия – 2500 вместо 3300
КОМПЛЕКСЫ:
✅«Мама, я худею!» - 7500 вместо 9000
Кавитация+ЕМС (разрушаем жир, наращиваем мышечную массу), 1 час/сеанс – 5 сеансов
✅«Спасение от зимней спячки» - 10 000 вместо 13 500
Кавитация+RF-лифтинг+ЕМС (мышцы, стройность, подтянутая кожа) – 1,5 часа/сеанс – 5 сеансов
✅«Я пережила 2020-2024!» - 15 000 вместо 21 000
Кавитация+RF-лифтинг+ЕМС+иньекционная карбокситерапия – (стройность, мышцы, молодая подтянутая кожа Х2!!!) – 2 часа/сеанс – 5 сеансов
🚇м. Курская, 10 минут пешком от метро
🖍запись в личку Марии Котик или мессенджеры 89253081608
Имеются противопоказания, требуется консультация специалиста🎄
🌲Убираем животики, бока, галифе, ягодицы и становимся конфетками! ЦЕНЫ 2020 года!
МАССАЖ, 60 минут:
💚Классика (упор на спину) - 1 800
💚Турецкая классика (упор на ноги) - 1 800
💚Лимфодренаж (убираем отёчность) - 1 800
💚Релакс (мягкое расслабление) - 1 800
КОРРЕКЦИЯ ФИГУРЫ:
🍀Кавитация (разрушает жир), 30 мин – 900
🍀ЕМС (пассивная накачка мышц), 30 мин – 900
🍀RF-лифтинг (подтягивает кожу), 30 мин – 900
🍀Инъекционная карбокситерапия СО2, (омолаживает, подтягивает кожу, разрушает жир), одна зона – 1500
КОМБО:
✅Кавитация+ЕМС – 1500 вместо 1800
✅Кавитация+RF-лифтинг – 1500 вместо 1800
✅ЕМС+RF-лифтинг – 1500 вместо 1800
✅ Кавитация+ЕМС+инъекционная карбокситерапия – 2500 вместо 3300
✅Кавитация+RF-лифтинг+инъекционная карбокситерапия – 2500 вместо 3300
✅ЕМС+RF-лифтинг+инъекционная карбокситерапия – 2500 вместо 3300
КОМПЛЕКСЫ:
✅«Мама, я худею!» - 7500 вместо 9000
Кавитация+ЕМС (разрушаем жир, наращиваем мышечную массу), 1 час/сеанс – 5 сеансов
✅«Спасение от зимней спячки» - 10 000 вместо 13 500
Кавитация+RF-лифтинг+ЕМС (мышцы, стройность, подтянутая кожа) – 1,5 часа/сеанс – 5 сеансов
✅«Я пережила 2020-2024!» - 15 000 вместо 21 000
Кавитация+RF-лифтинг+ЕМС+иньекционная карбокситерапия – (стройность, мышцы, молодая подтянутая кожа Х2!!!) – 2 часа/сеанс – 5 сеансов
🚇м. Курская, 10 минут пешком от метро
🖍запись в личку Марии Котик или мессенджеры 89253081608
Имеются противопоказания, требуется консультация специалиста🎄
Показать больше
8 мс. назад
Приглашаю Вас в свою уютную студию маникюра 𝓝𝓪𝓲𝓵𝓼 𝓫𝔂 𝓜𝓮𝓻𝓲 🌸💕
Маникюр+Покрытие-1.700
Маникюр+Покрытие LUXIO-2.000
Педикюр+Покрытие -2.500
Наращивание ногтей-3.000
Коррекция нарощенных ногтей-2.500
🌸На первые 3 посещения - скидка 10% + 🎁
ЖДУ ВАС ПО АДРЕСУ
Жулебино, ул Генерала Кузнецова д18 к1
Мой телеграмм канал: https://t.me/meri_nailss
ЗАПИСЫВАТЬСЯ👇
merii_nails
📱 8-968-006-09-90 (Мери)
Маникюр+Покрытие-1.700
Маникюр+Покрытие LUXIO-2.000
Педикюр+Покрытие -2.500
Наращивание ногтей-3.000
Коррекция нарощенных ногтей-2.500
🌸На первые 3 посещения - скидка 10% + 🎁
ЖДУ ВАС ПО АДРЕСУ
Жулебино, ул Генерала Кузнецова д18 к1
Мой телеграмм канал: https://t.me/meri_nailss
ЗАПИСЫВАТЬСЯ👇
merii_nails
📱 8-968-006-09-90 (Мери)
Показать больше
При финансовой поддержке
Memes Admin
4 мс. назад