Праздничный трамвай проедет по улицам Челябинска 7 марта
Трамвай №1240 отправится в рейс из депо №1 в 15:19. Маршрут пройдет по линии №5, соединяющей Автовокзал и ЧЭМК. Как сообщает «ЧелябГЭТ», в этот день пассажирок ждет особый сюрприз: им будут дарить подарки и говорить приятные комплименты.
Трамвай №1240 отправится в рейс из депо №1 в 15:19. Маршрут пройдет по линии №5, соединяющей Автовокзал и ЧЭМК. Как сообщает «ЧелябГЭТ», в этот день пассажирок ждет особый сюрприз: им будут дарить подарки и говорить приятные комплименты.
Показать больше
8 мс. назад
8 мс. назад
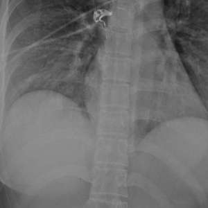
Силиконовый имплант стал настоящим спасителем для девушки, остановив пулю, которая была направлена прямо в её сердце.
Во время обследования врачи обнаружили, что пуля сломала ребро с правой стороны грудной клетки. Удивительно, но она вошла в левую молочную железу и, рикошетом от импланта, попала в правую.
Можно предположить, что некоторые девушки выбирают силиконовые импланты, чтобы повысить свою безопасность на случай возможного попадания пули.
Во время обследования врачи обнаружили, что пуля сломала ребро с правой стороны грудной клетки. Удивительно, но она вошла в левую молочную железу и, рикошетом от импланта, попала в правую.
Можно предположить, что некоторые девушки выбирают силиконовые импланты, чтобы повысить свою безопасность на случай возможного попадания пули.
Показать больше
При финансовой поддержке
Memes Admin
4 мс. назад