В Кузбассе живёт необыкновенный человек — Алексей Павлович Шаповал. Ему недавно исполнилось 81 год, и он является самым многодетным дедушкой в регионе. У него 11 сыновей и две дочери, а каждый из них, в свою очередь, стал родителем от шести до пятнадцати детей.
В Новокузнецке живёт большая и дружная семья, которой руководит Алексей Павлович Шаповал. В конце февраля ему исполнился 81 год. У него 11 сыновей и две дочери, у каждого из которых от шести до пятнадцати детей.
У деда Шаповала в общей сложности 119 внуков и более полусотни правнуков. В прошлом году в семье родилось 15 малышей. Если собрать всех родственников за одним столом, получится больше 250 человек. В этой большой семье рождение каждого ребёнка встречают с радостью и считают это высшей наградой.
В Новокузнецке живёт большая и дружная семья, которой руководит Алексей Павлович Шаповал. В конце февраля ему исполнился 81 год. У него 11 сыновей и две дочери, у каждого из которых от шести до пятнадцати детей.
У деда Шаповала в общей сложности 119 внуков и более полусотни правнуков. В прошлом году в семье родилось 15 малышей. Если собрать всех родственников за одним столом, получится больше 250 человек. В этой большой семье рождение каждого ребёнка встречают с радостью и считают это высшей наградой.
Показать больше
8 мс. назад
8 мс. назад
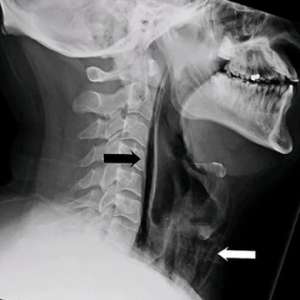
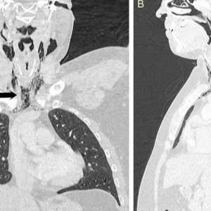
Мужчина испытал болезненные ощущения в области шеи, когда пытался сдержать чихание.
В результате чихания он ощутил «хлопок» в шее, после чего возникли проблемы с глотанием. МРТ-исследование показало, что воздух выходил через отверстие в трахее в мягкие ткани шеи. В течение нескольких дней мужчина получал питание через зонд, чтобы ткани могли зажить.
Когда мы сдерживаем чихание, воздух не может выйти наружу, и его давление разрывает мягкие ткани, причиняя им вред.
В результате чихания он ощутил «хлопок» в шее, после чего возникли проблемы с глотанием. МРТ-исследование показало, что воздух выходил через отверстие в трахее в мягкие ткани шеи. В течение нескольких дней мужчина получал питание через зонд, чтобы ткани могли зажить.
Когда мы сдерживаем чихание, воздух не может выйти наружу, и его давление разрывает мягкие ткани, причиняя им вред.
Показать больше
8 мс. назад
В Польше неизвестный человек оставил на пороге детского дома коробку, после чего скрылся.
Сотрудники учреждения вызвали полицию, чтобы проверить содержимое на наличие взрывных устройств или ядовитых веществ. Однако внутри оказались только деньги в банковских упаковках и различные кондитерские изделия для детей.
Сотрудники учреждения вызвали полицию, чтобы проверить содержимое на наличие взрывных устройств или ядовитых веществ. Однако внутри оказались только деньги в банковских упаковках и различные кондитерские изделия для детей.
Показать больше
8 мс. назад
В одном из пунктов выдачи заказов в Санкт-Петербурге находится около сотни гирь весом по 20 килограммов, которые в общей сложности весят почти тонну. Эти гири были заказаны неизвестным спортсменом, но пока не были получены.
Владельцы пункта выдачи предполагают, что этот заказ мог быть сделан с целью создания проблем конкурентами. Если гири не будут забраны, то их придётся отправить обратно самостоятельно.
Владельцы пункта выдачи предполагают, что этот заказ мог быть сделан с целью создания проблем конкурентами. Если гири не будут забраны, то их придётся отправить обратно самостоятельно.
Показать больше
8 мс. назад
При финансовой поддержке
Memes Admin
4 мс. назад