Заболевание, известное как «акулья улыбка», — это аномалия, при которой на месте ещё не выпавшего молочного зуба вырастает новый, постоянный. В результате формируется сдвоенный зубной ряд. Эта патология наиболее распространена среди детей и подростков в возрасте от 12 до 16 лет, однако она может встречаться и у взрослых, как у мужчин, так и у женщин.
Многие люди считают, что данная аномалия — это лишь эстетический недостаток, но на самом деле она может представлять серьёзную опасность для физического и даже психического здоровья.
Многие люди считают, что данная аномалия — это лишь эстетический недостаток, но на самом деле она может представлять серьёзную опасность для физического и даже психического здоровья.
Показать больше
8 мс. назад
8 мс. назад
😨Этот мужчина не курил в течение 6 лет и каждый день откладывал деньги, эквивалентные стоимости пачки сигарет. Сэкономленные средства позволили ему приобрести автомобиль, на котором он, к сожалению, погиб в аварии всего через несколько дней.
Такова его судьба...
Такова его судьба...
Показать больше
8 мс. назад
«Тяжёлый металл» (1981) — мультфильм, который сегодня было бы сложно создать
Эта культовая анимационная антология, основанная на комиксах Heavy Metal, вобрала в себя все самые яркие черты 80-х: откровенные сцены, жестокость, рок-н-ролл и сюрреалистический стиль. Это не просто мультфильм, а настоящая визуальная анархия с брутальными героями, обнажёнными девушками и мощным саундтреком, который исполняют такие группы, как Black Sabbath, Blue Öyster Cult и Cheap Trick.
Каждая история в этой антологии — это отдельный мир: от нуарного киберпанка до космического фэнтези с варваршей на птеродактиле. «Тяжёлый металл» стал вдохновением для целой эпохи в анимации, но сегодня такое кино вряд ли было бы принято. Именно поэтому его стоит пересмотреть.
Эта культовая анимационная антология, основанная на комиксах Heavy Metal, вобрала в себя все самые яркие черты 80-х: откровенные сцены, жестокость, рок-н-ролл и сюрреалистический стиль. Это не просто мультфильм, а настоящая визуальная анархия с брутальными героями, обнажёнными девушками и мощным саундтреком, который исполняют такие группы, как Black Sabbath, Blue Öyster Cult и Cheap Trick.
Каждая история в этой антологии — это отдельный мир: от нуарного киберпанка до космического фэнтези с варваршей на птеродактиле. «Тяжёлый металл» стал вдохновением для целой эпохи в анимации, но сегодня такое кино вряд ли было бы принято. Именно поэтому его стоит пересмотреть.
Показать больше
8 мс. назад
😑России появилась новая молодежная субкультура
Подростки, родившиеся в 2008-2010 годах, выбирают необычный стиль: они носят эксцентричную одежду, отращивают длинные волосы и становятся похожими на девушек.
Что не так с молодежью?
Подростки, родившиеся в 2008-2010 годах, выбирают необычный стиль: они носят эксцентричную одежду, отращивают длинные волосы и становятся похожими на девушек.
Что не так с молодежью?
Показать больше
8 мс. назад
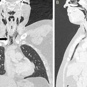
Мужчина столкнулся с разрывом горла, когда попытался подавить чих.
В попытке сдержать чих он почувствовал «хлопок» в шее, за которым последовали боль и трудности при глотании. МРТ показало, что воздух выходил через разрыв из трахеи в мягкие ткани шеи. В течение следующих нескольких дней мужчину кормили через зонд, чтобы дать тканям время для заживления.
Когда мы прикрываем нос и рот во время чихания, воздуху некуда деваться, и его давление разрывает мягкие ткани, нанося им вред.
В попытке сдержать чих он почувствовал «хлопок» в шее, за которым последовали боль и трудности при глотании. МРТ показало, что воздух выходил через разрыв из трахеи в мягкие ткани шеи. В течение следующих нескольких дней мужчину кормили через зонд, чтобы дать тканям время для заживления.
Когда мы прикрываем нос и рот во время чихания, воздуху некуда деваться, и его давление разрывает мягкие ткани, нанося им вред.
Показать больше
При финансовой поддержке
Memes Admin
4 мс. назад