В Китае пить пиво из пакета считается вполне нормальным.
В Циндао пиво разливают прямо в полиэтиленовые пакеты из кегов, которые можно встретить на каждом углу.
Культура употребления разливного пива из пластикового пакета зародилась в СССР. В те времена в продаже было не так много прохладительных напитков, поэтому пиво разливали в стеклянные банки, пластиковые канистры, а зачастую и просто в полиэтиленовые пакеты. Хотя СССР уже давно нет, традиция пить пиво из пакетов продолжает существовать, и особенно популярна она в Китае.
В Циндао пиво разливают прямо в полиэтиленовые пакеты из кегов, которые можно встретить на каждом углу.
Культура употребления разливного пива из пластикового пакета зародилась в СССР. В те времена в продаже было не так много прохладительных напитков, поэтому пиво разливали в стеклянные банки, пластиковые канистры, а зачастую и просто в полиэтиленовые пакеты. Хотя СССР уже давно нет, традиция пить пиво из пакетов продолжает существовать, и особенно популярна она в Китае.
Показать больше
9 мс. назад
9 мс. назад
Мужчина прожил 28 лет в согнутом состоянии из-за редкого заболевания — анкилозирующего спондилита, агрессивной формы артрита.
Ли Хуа не мог самостоятельно передвигаться, поднимать голову, сидеть или лежать ровно. Все эти годы он полностью зависел от своей пожилой матери, которая поддерживала его.
Хирург, проводивший операцию, признался, что это первый подобный случай в его практике. Операция проходила в четыре этапа, на каждом из которых медики ломали и заново собирали хребет мужчины.
Ли Хуа не мог самостоятельно передвигаться, поднимать голову, сидеть или лежать ровно. Все эти годы он полностью зависел от своей пожилой матери, которая поддерживала его.
Хирург, проводивший операцию, признался, что это первый подобный случай в его практике. Операция проходила в четыре этапа, на каждом из которых медики ломали и заново собирали хребет мужчины.
Показать больше
9 мс. назад
Касумарцу — это особый вид сыра, который производят на Сардинии. Он знаменит тем, что в его составе содержатся живые личинки сырной мухи.
Существует мнение, что употребление такого сыра может привести к серьёзному отравлению. Однако итальянцы убеждены, что этот продукт способен продлить жизнь. Его часто едят пожилые люди, в том числе те, кому уже за 90 лет.
Личинки в сыре могут прыгать, поэтому рекомендуется употреблять его в защитных очках. К сожалению, попробовать червивый сыр можно только на его родине, так как в странах Евросоюза его производство запрещено.
Существует мнение, что употребление такого сыра может привести к серьёзному отравлению. Однако итальянцы убеждены, что этот продукт способен продлить жизнь. Его часто едят пожилые люди, в том числе те, кому уже за 90 лет.
Личинки в сыре могут прыгать, поэтому рекомендуется употреблять его в защитных очках. К сожалению, попробовать червивый сыр можно только на его родине, так как в странах Евросоюза его производство запрещено.
Показать больше
9 мс. назад
Этот человек уже 67 лет дышит с помощью аппарата искусственного дыхания, известного как «железные лёгкие».
Устройство представляет собой герметичную камеру, которая крепится к шее пациента и создаёт отрицательное давление, позволяя воздуху поступать в лёгкие. Когда в камере повышается давление, воздух выходит из лёгких, и пациент осуществляет выдох.
Несмотря на то, что Пол Александр парализован ниже шеи, он продолжает работать юристом, используя палочки для еды, чтобы управлять клавиатурой и телефоном.
Устройство представляет собой герметичную камеру, которая крепится к шее пациента и создаёт отрицательное давление, позволяя воздуху поступать в лёгкие. Когда в камере повышается давление, воздух выходит из лёгких, и пациент осуществляет выдох.
Несмотря на то, что Пол Александр парализован ниже шеи, он продолжает работать юристом, используя палочки для еды, чтобы управлять клавиатурой и телефоном.
Показать больше
9 мс. назад
Грета ото — это необыкновенная бабочка, обладающая стеклянными крыльями, которые являются уникальным инструментом камуфляжа в мире насекомых. Обитает она в Латинской Америке, предпочитая тропические леса.
Помимо своей удивительной красоты, эти бабочки известны своей выносливостью и любовью к путешествиям. В день они способны преодолеть до 20 километров, развивая среднюю скорость около 13 километров в час. Бабочки — удивительные создания природы, использующие разнообразные способы защиты от хищников.
Крылья Греты ото кажутся хрупкими и «воздушными», но это впечатление обманчиво. Она является одной из самых сильных бабочек в мире, способной без труда поднять предмет, который в 40 раз превышает её вес.
Помимо своей удивительной красоты, эти бабочки известны своей выносливостью и любовью к путешествиям. В день они способны преодолеть до 20 километров, развивая среднюю скорость около 13 километров в час. Бабочки — удивительные создания природы, использующие разнообразные способы защиты от хищников.
Крылья Греты ото кажутся хрупкими и «воздушными», но это впечатление обманчиво. Она является одной из самых сильных бабочек в мире, способной без труда поднять предмет, который в 40 раз превышает её вес.
Показать больше
9 мс. назад
В Индии когда-то существовал обычай, согласно которому жёны умерших мужей добровольно сжигали себя на погребальном костре супруга.
Если вдова отказывалась участвовать в этом обряде, она подвергалась осуждению со стороны общины и становилась изгоем. Таким образом, добровольность такого рода самосожжения остаётся под вопросом.
Если вдова отказывалась участвовать в этом обряде, она подвергалась осуждению со стороны общины и становилась изгоем. Таким образом, добровольность такого рода самосожжения остаётся под вопросом.
Показать больше
9 мс. назад
В XX веке японские инженеры и специалисты решили провести эксперимент: построить уменьшенную в семь раз копию пирамиды Хеопса.
Первоначально планировалось завершить работу за месяц, но на это ушло более года. Строительство началось с использованием примитивных методов, как будто бы это делали древние египтяне. Однако почти сразу же возникли проблемы.
Специалисты начали отставать от намеченного графика, и для решения этой задачи был привлечён грузовик. Однако в условиях песчаной почвы он оказался неэффективным. Тогда было решено использовать грузовой вертолет для транспортировки блоков.
Однако вскоре блоки начали расходиться, и строительство пошло криво, хотя японцы старались следовать той же методике, что и древние египтяне.
В итоге пирамида развалилась, а сроки строительства были превышены в 12 раз. Хотя в процессе использовалась техника, история всё равно будет говорить об отсутствии технологий в прошлом.
Первоначально планировалось завершить работу за месяц, но на это ушло более года. Строительство началось с использованием примитивных методов, как будто бы это делали древние египтяне. Однако почти сразу же возникли проблемы.
Специалисты начали отставать от намеченного графика, и для решения этой задачи был привлечён грузовик. Однако в условиях песчаной почвы он оказался неэффективным. Тогда было решено использовать грузовой вертолет для транспортировки блоков.
Однако вскоре блоки начали расходиться, и строительство пошло криво, хотя японцы старались следовать той же методике, что и древние египтяне.
В итоге пирамида развалилась, а сроки строительства были превышены в 12 раз. Хотя в процессе использовалась техника, история всё равно будет говорить об отсутствии технологий в прошлом.
Показать больше
9 мс. назад
В российских клиниках может возникнуть проблема с отсутствием достаточного количества имплантатов для увеличения груди.
Пластические хирурги обеспокоены тем, что из-за этого в стране может быть ограничен выбор подобных изделий. Дело в том, что в России не производят такие импланты, и все необходимые материалы приходится ввозить из-за границы.
Основными поставщиками грудных имплантов являются Бразилия, США, Южная Корея и Китай. Однако есть и хорошие новости: прямого запрета на поставки силиконовых имплантов в Россию не вводилось.
Пластические хирурги обеспокоены тем, что из-за этого в стране может быть ограничен выбор подобных изделий. Дело в том, что в России не производят такие импланты, и все необходимые материалы приходится ввозить из-за границы.
Основными поставщиками грудных имплантов являются Бразилия, США, Южная Корея и Китай. Однако есть и хорошие новости: прямого запрета на поставки силиконовых имплантов в Россию не вводилось.
Показать больше
9 мс. назад
Один россиянин, который не может похвастаться большим достатком, приобрёл маршрутку и превратил её в настоящий дом на колёсах. На реализацию этого проекта он потратил 4,5 миллиона рублей.
Владелец оборудовал своё транспортное средство всем необходимым для комфортной жизни: установил кондиционер, душ, стиральную машину, кухню, отопление и даже тёплые полы. По его словам, всё это работает от солнечных панелей, заряда которых хватает на неделю автономной работы.
Этот пример доказывает, что для создания собственного дома на колёсах не обязательно тратить огромные суммы денег.
Владелец оборудовал своё транспортное средство всем необходимым для комфортной жизни: установил кондиционер, душ, стиральную машину, кухню, отопление и даже тёплые полы. По его словам, всё это работает от солнечных панелей, заряда которых хватает на неделю автономной работы.
Этот пример доказывает, что для создания собственного дома на колёсах не обязательно тратить огромные суммы денег.
Показать больше
9 мс. назад
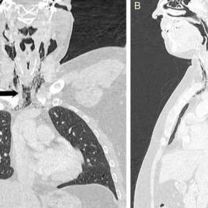
Мужчина столкнулся с разрывом горла, когда попытался подавить чих.
В попытке сдержать чих он почувствовал «хлопок» в шее, за которым последовали боль и трудности при глотании. МРТ показало, что воздух выходил через разрыв из трахеи в мягкие ткани шеи. В течение следующих нескольких дней мужчину кормили через зонд, чтобы дать тканям время для заживления.
Когда мы прикрываем нос и рот во время чихания, воздуху некуда деваться, и его давление разрывает мягкие ткани, нанося им вред.
В попытке сдержать чих он почувствовал «хлопок» в шее, за которым последовали боль и трудности при глотании. МРТ показало, что воздух выходил через разрыв из трахеи в мягкие ткани шеи. В течение следующих нескольких дней мужчину кормили через зонд, чтобы дать тканям время для заживления.
Когда мы прикрываем нос и рот во время чихания, воздуху некуда деваться, и его давление разрывает мягкие ткани, нанося им вред.
Показать больше
При финансовой поддержке
Memes Admin
5 мс. назад