Трагический Случай: Инсульт после Поцелуя
После романтической ночи с девушкой молодой человек внезапно начал биться в конвульсиях за обеденным столом. Родители вызвали скорую помощь, но к сожалению, его не удалось спасти. Врачи установили, что причиной смерти стал инсульт, вызванный поцелуем в шею. На месте поцелуя образовался сгусток крови, который закупорил артерию, что привело к разрыву сосуда и кровоизлиянию в мозг. Этот случай подчеркивает редкие, но потенциально опасные последствия интенсивных поцелуев.
После романтической ночи с девушкой молодой человек внезапно начал биться в конвульсиях за обеденным столом. Родители вызвали скорую помощь, но к сожалению, его не удалось спасти. Врачи установили, что причиной смерти стал инсульт, вызванный поцелуем в шею. На месте поцелуя образовался сгусток крови, который закупорил артерию, что привело к разрыву сосуда и кровоизлиянию в мозг. Этот случай подчеркивает редкие, но потенциально опасные последствия интенсивных поцелуев.
Показать больше
8 мс. назад
8 мс. назад
Драма с колбасой в главной роли
В Москве произошла история, в которой главный герой — казахский студент, получивший из дома казы-карта (сырые не вареные колбаски). Он был очень рад этому сюрпризу и с радостью шёл с пакетом, но тут у него порвалась ручка.
Недолго думая, студент взял пакет в обе руки и спрятал под куртку. В этот момент его задел проезжавший мимо автомобиль, но несильно, и не опасно.
Далее рассказ ведётся от лица водителя: «Сбив парня, я очень сильно испугался! Выйдя из машины, я увидел его на асфальте. Вокруг были разбросаны кишки… Мне стало плохо, и я упал в обморок.
Придя в сознание, я был шокирован другой картиной — этот же парень уже был на ногах. Он ходил и собирал с асфальта свои кишки, засовывая их обратно себе за пазуху. И я снова потерял сознание».
В Москве произошла история, в которой главный герой — казахский студент, получивший из дома казы-карта (сырые не вареные колбаски). Он был очень рад этому сюрпризу и с радостью шёл с пакетом, но тут у него порвалась ручка.
Недолго думая, студент взял пакет в обе руки и спрятал под куртку. В этот момент его задел проезжавший мимо автомобиль, но несильно, и не опасно.
Далее рассказ ведётся от лица водителя: «Сбив парня, я очень сильно испугался! Выйдя из машины, я увидел его на асфальте. Вокруг были разбросаны кишки… Мне стало плохо, и я упал в обморок.
Придя в сознание, я был шокирован другой картиной — этот же парень уже был на ногах. Он ходил и собирал с асфальта свои кишки, засовывая их обратно себе за пазуху. И я снова потерял сознание».
Показать больше
8 мс. назад
#Инфо_пост_аниме #Enen_no_Shouboutai / Огненная бригада пожарных!
Боевая бригада супер-пожарных вернётся на экраны 4 апреля 2025 года!
Боевая бригада супер-пожарных вернётся на экраны 4 апреля 2025 года!
Показать больше
8 мс. назад
В поисках пары подружек с которыми проведу весну и лето в путешествиях по России
В программе покатушки на квадроциклах, гидроциклах и другие мероприятия
В программе покатушки на квадроциклах, гидроциклах и другие мероприятия
8 мс. назад
Серийный Убийца Мэтью Хоффман: Необычное Восприятие Мира
Мэтью Хоффман, серийный убийца, имел уникальное увлечение природой — листья, деревья и вся окружающая среда вызывали у него особое восхищение. Это увлечение нашло свое отражение в его преступлениях: он помещал жертв в дупла деревьев. В его доме было обнаружено более 18 килограммов листьев. Книга, посвященная его истории, называется «Девушка в листьях». Это делает его одним из самых необычных серийных убийц, о которых известно.
Мэтью Хоффман, серийный убийца, имел уникальное увлечение природой — листья, деревья и вся окружающая среда вызывали у него особое восхищение. Это увлечение нашло свое отражение в его преступлениях: он помещал жертв в дупла деревьев. В его доме было обнаружено более 18 килограммов листьев. Книга, посвященная его истории, называется «Девушка в листьях». Это делает его одним из самых необычных серийных убийц, о которых известно.
Показать больше
8 мс. назад
«Тяжёлый металл» (1981) — мультфильм, который сегодня было бы сложно создать
Эта культовая анимационная антология, основанная на комиксах Heavy Metal, вобрала в себя все самые яркие черты 80-х: откровенные сцены, жестокость, рок-н-ролл и сюрреалистический стиль. Это не просто мультфильм, а настоящая визуальная анархия с брутальными героями, обнажёнными девушками и мощным саундтреком, который исполняют такие группы, как Black Sabbath, Blue Öyster Cult и Cheap Trick.
Каждая история в этой антологии — это отдельный мир: от нуарного киберпанка до космического фэнтези с варваршей на птеродактиле. «Тяжёлый металл» стал вдохновением для целой эпохи в анимации, но сегодня такое кино вряд ли было бы принято. Именно поэтому его стоит пересмотреть.
Эта культовая анимационная антология, основанная на комиксах Heavy Metal, вобрала в себя все самые яркие черты 80-х: откровенные сцены, жестокость, рок-н-ролл и сюрреалистический стиль. Это не просто мультфильм, а настоящая визуальная анархия с брутальными героями, обнажёнными девушками и мощным саундтреком, который исполняют такие группы, как Black Sabbath, Blue Öyster Cult и Cheap Trick.
Каждая история в этой антологии — это отдельный мир: от нуарного киберпанка до космического фэнтези с варваршей на птеродактиле. «Тяжёлый металл» стал вдохновением для целой эпохи в анимации, но сегодня такое кино вряд ли было бы принято. Именно поэтому его стоит пересмотреть.
Показать больше
8 мс. назад
😑России появилась новая молодежная субкультура
Подростки, родившиеся в 2008-2010 годах, выбирают необычный стиль: они носят эксцентричную одежду, отращивают длинные волосы и становятся похожими на девушек.
Что не так с молодежью?
Подростки, родившиеся в 2008-2010 годах, выбирают необычный стиль: они носят эксцентричную одежду, отращивают длинные волосы и становятся похожими на девушек.
Что не так с молодежью?
Показать больше
8 мс. назад
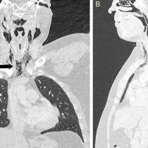
Мужчина столкнулся с разрывом горла, когда попытался подавить чих.
В попытке сдержать чих он почувствовал «хлопок» в шее, за которым последовали боль и трудности при глотании. МРТ показало, что воздух выходил через разрыв из трахеи в мягкие ткани шеи. В течение следующих нескольких дней мужчину кормили через зонд, чтобы дать тканям время для заживления.
Когда мы прикрываем нос и рот во время чихания, воздуху некуда деваться, и его давление разрывает мягкие ткани, нанося им вред.
В попытке сдержать чих он почувствовал «хлопок» в шее, за которым последовали боль и трудности при глотании. МРТ показало, что воздух выходил через разрыв из трахеи в мягкие ткани шеи. В течение следующих нескольких дней мужчину кормили через зонд, чтобы дать тканям время для заживления.
Когда мы прикрываем нос и рот во время чихания, воздуху некуда деваться, и его давление разрывает мягкие ткани, нанося им вред.
Показать больше
При финансовой поддержке
Memes Admin
5 мс. назад