Женщина передвигает мини-автомобиль.
Peel P50 — это уникальное творение, признанное самым маленьким серийным автомобилем в мире. Он был разработан и выпущен компанией Peel Engineering на острове Мэн в начале 1960-х годов.
Длина этого необычного автомобиля составляла всего 134 см, а весил он около 59 кг. Благодаря этому водитель мог легко приподнимать и катить его вручную.
Оснащенный одноцилиндровым двигателем объемом 49 куб. см, P50 мог развивать скорость до 60 км/ч, что делало его отличным выбором для городских поездок. Однако, стоит отметить, что в этой модели отсутствовала задняя передача, поэтому для совершения разворота приходилось толкать её вручную.
Peel P50 — это уникальное творение, признанное самым маленьким серийным автомобилем в мире. Он был разработан и выпущен компанией Peel Engineering на острове Мэн в начале 1960-х годов.
Длина этого необычного автомобиля составляла всего 134 см, а весил он около 59 кг. Благодаря этому водитель мог легко приподнимать и катить его вручную.
Оснащенный одноцилиндровым двигателем объемом 49 куб. см, P50 мог развивать скорость до 60 км/ч, что делало его отличным выбором для городских поездок. Однако, стоит отметить, что в этой модели отсутствовала задняя передача, поэтому для совершения разворота приходилось толкать её вручную.
Показать больше
7 мс. назад
7 мс. назад
Драма с колбасой в главной роли
В Москве произошла история, в которой главный герой — казахский студент, получивший из дома казы-карта (сырые не вареные колбаски). Он был очень рад этому сюрпризу и с радостью шёл с пакетом, но тут у него порвалась ручка.
Недолго думая, студент взял пакет в обе руки и спрятал под куртку. В этот момент его задел проезжавший мимо автомобиль, но несильно, и не опасно.
Далее рассказ ведётся от лица водителя: «Сбив парня, я очень сильно испугался! Выйдя из машины, я увидел его на асфальте. Вокруг были разбросаны кишки… Мне стало плохо, и я упал в обморок.
Придя в сознание, я был шокирован другой картиной — этот же парень уже был на ногах. Он ходил и собирал с асфальта свои кишки, засовывая их обратно себе за пазуху. И я снова потерял сознание».
В Москве произошла история, в которой главный герой — казахский студент, получивший из дома казы-карта (сырые не вареные колбаски). Он был очень рад этому сюрпризу и с радостью шёл с пакетом, но тут у него порвалась ручка.
Недолго думая, студент взял пакет в обе руки и спрятал под куртку. В этот момент его задел проезжавший мимо автомобиль, но несильно, и не опасно.
Далее рассказ ведётся от лица водителя: «Сбив парня, я очень сильно испугался! Выйдя из машины, я увидел его на асфальте. Вокруг были разбросаны кишки… Мне стало плохо, и я упал в обморок.
Придя в сознание, я был шокирован другой картиной — этот же парень уже был на ногах. Он ходил и собирал с асфальта свои кишки, засовывая их обратно себе за пазуху. И я снова потерял сознание».
Показать больше
7 мс. назад
#Инфо_пост_аниме #Enen_no_Shouboutai / Огненная бригада пожарных!
Боевая бригада супер-пожарных вернётся на экраны 4 апреля 2025 года!
Боевая бригада супер-пожарных вернётся на экраны 4 апреля 2025 года!
Показать больше
7 мс. назад
В поисках пары подружек с которыми проведу весну и лето в путешествиях по России
В программе покатушки на квадроциклах, гидроциклах и другие мероприятия
В программе покатушки на квадроциклах, гидроциклах и другие мероприятия
7 мс. назад
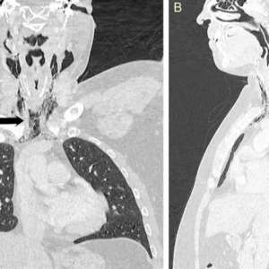
Мужчина столкнулся с разрывом горла, когда попытался подавить чих.
В попытке сдержать чих он почувствовал «хлопок» в шее, за которым последовали боль и трудности при глотании. МРТ показало, что воздух выходил через разрыв из трахеи в мягкие ткани шеи. В течение следующих нескольких дней мужчину кормили через зонд, чтобы дать тканям время для заживления.
Когда мы прикрываем нос и рот во время чихания, воздуху некуда деваться, и его давление разрывает мягкие ткани, нанося им вред.
В попытке сдержать чих он почувствовал «хлопок» в шее, за которым последовали боль и трудности при глотании. МРТ показало, что воздух выходил через разрыв из трахеи в мягкие ткани шеи. В течение следующих нескольких дней мужчину кормили через зонд, чтобы дать тканям время для заживления.
Когда мы прикрываем нос и рот во время чихания, воздуху некуда деваться, и его давление разрывает мягкие ткани, нанося им вред.
Показать больше
При финансовой поддержке
Memes Admin
4 мс. назад