Покраснение пальцев на ноге и на руке: подагра, остеомиелит или более редкая патология?
Мужчина, 55 лет
Обратился с жалобами на боль и отёк большого пальца правой ноги и среднего пальца правой руки, которые беспокоили его в течение 6 недель. Температура не повышалась.
При осмотре отмечается отёк и покраснение дистальной фаланги третьего пальца правой руки и большого пальца правой ноги. Также была обнаружена язва рядом с ногтем большого пальца. Ткани были плотными и болезненными при пальпации....
📌 Из-за изменений в алгоритмах ВКонтакте мы вынуждены публиковать только анонсы.
Подробнее — vk.com/wall-82566597_45225
Полная версия кейса:
🔹 В Telegram → t.me/medcaseonline
🔹 По подписке во ВКонтакте → раздел VK Donut нашей группы
#medcase #ревматология #терапия #онкология
Мужчина, 55 лет
Обратился с жалобами на боль и отёк большого пальца правой ноги и среднего пальца правой руки, которые беспокоили его в течение 6 недель. Температура не повышалась.
При осмотре отмечается отёк и покраснение дистальной фаланги третьего пальца правой руки и большого пальца правой ноги. Также была обнаружена язва рядом с ногтем большого пальца. Ткани были плотными и болезненными при пальпации....
📌 Из-за изменений в алгоритмах ВКонтакте мы вынуждены публиковать только анонсы.
Подробнее — vk.com/wall-82566597_45225
Полная версия кейса:
🔹 В Telegram → t.me/medcaseonline
🔹 По подписке во ВКонтакте → раздел VK Donut нашей группы
#medcase #ревматология #терапия #онкология
Показать больше
3 мс. назад
3 мс. назад
Сегодня у нас можно поймать две ночи в Сочи Парк Отеле за 990 рублей: https://vk.cc/cMzuKL.
Там территория размером со стадион: пять бассейнов, спа, теннисные корты, картинг и много всего для детей. И прямо там же, в отеле — аптека, банкомат и точки с едой.
А за забором всё то, чего вы ждёте именно от Сириуса: Олимпийский парк с велопрокатом, проверенные рестораны, набережная и пальмы. Самый современный район здесь всё-таки!
Там территория размером со стадион: пять бассейнов, спа, теннисные корты, картинг и много всего для детей. И прямо там же, в отеле — аптека, банкомат и точки с едой.
А за забором всё то, чего вы ждёте именно от Сириуса: Олимпийский парк с велопрокатом, проверенные рестораны, набережная и пальмы. Самый современный район здесь всё-таки!
Показать больше
3 мс. назад
Портрет твоей малышки в образе мультяшки на холсте!
Клиент предоставляет фото, а команда создает шедевр! Пусть любимой малышке будет видно, что она настоящая принцесса, достойная королевских подарков. И, по-настоящему честная гарантия: вау-эффект или возврат средств!
Отправляйте фотографии по ссылке и смотрите, что получится:
https://vk.me/portret.mary...
Клиент предоставляет фото, а команда создает шедевр! Пусть любимой малышке будет видно, что она настоящая принцесса, достойная королевских подарков. И, по-настоящему честная гарантия: вау-эффект или возврат средств!
Отправляйте фотографии по ссылке и смотрите, что получится:
https://vk.me/portret.mary...
Показать больше
3 мс. назад
Боли и частый дискомфорт в животе?
Пройдите ЧЕК-АП у гастроэнтеролога в медицинском центре "Я здоров!"
✅ УЗИ органов брюшной полости (печень, желчный пузырь, поджелудочная железа, селезёнка)
✅Комплекс анализов (14 важных показателя: ОАК, АЛТ, АСТ, ЩФ, Холестерин общий, Билирубин общий, Билирубин прямой, Креатинин, ГГ, ТП, ЛДГ, Общий белок, Глюкоза, Мочевина, Амилаза панкреатическая)
✅Прием гастроэнтеролога
Не игнорируйте симптомы! Болезнь легче вылечить на раннем этапе.
Гастроэнтерологи рекомендуют пройти чек-ап, когда:
- Имеются патологии органов брюшной полости или желудочно-кишечного тракта;
- Есть неприятные ощущения или беспокойство в области желудка;
- Необходимо провести профилактическое обследование для контроля и предотвращения заболеваний.
Стоимость: 5 900 ₽ (вместо 6 740 ₽)
🤳Запись на обследование по телефону 8 (4852) 68-09-41
Медицинский центр "Я Здоров!"
Лицензия ЛО41-01132-76/00357256 от 19.10.2020
ул. Володарского, 52/55
ИМЕЮТСЯ ПРОТИВОПОКАЗАНИЯ. ТРЕБУЕТСЯ КОНСУЛЬТАЦИЯ СПЕЦИАЛИСТА.
Реклама. ООО "Клиника ОМС", ИНН: 7604343162. 18+
Пройдите ЧЕК-АП у гастроэнтеролога в медицинском центре "Я здоров!"
✅ УЗИ органов брюшной полости (печень, желчный пузырь, поджелудочная железа, селезёнка)
✅Комплекс анализов (14 важных показателя: ОАК, АЛТ, АСТ, ЩФ, Холестерин общий, Билирубин общий, Билирубин прямой, Креатинин, ГГ, ТП, ЛДГ, Общий белок, Глюкоза, Мочевина, Амилаза панкреатическая)
✅Прием гастроэнтеролога
Не игнорируйте симптомы! Болезнь легче вылечить на раннем этапе.
Гастроэнтерологи рекомендуют пройти чек-ап, когда:
- Имеются патологии органов брюшной полости или желудочно-кишечного тракта;
- Есть неприятные ощущения или беспокойство в области желудка;
- Необходимо провести профилактическое обследование для контроля и предотвращения заболеваний.
Стоимость: 5 900 ₽ (вместо 6 740 ₽)
🤳Запись на обследование по телефону 8 (4852) 68-09-41
Медицинский центр "Я Здоров!"
Лицензия ЛО41-01132-76/00357256 от 19.10.2020
ул. Володарского, 52/55
ИМЕЮТСЯ ПРОТИВОПОКАЗАНИЯ. ТРЕБУЕТСЯ КОНСУЛЬТАЦИЯ СПЕЦИАЛИСТА.
Реклама. ООО "Клиника ОМС", ИНН: 7604343162. 18+
Показать больше
3 мс. назад
Как стать лучшим детским неврологом?
Видеокурс «Основы детской неврологии. Диагностика и лечение распространенных заболеваний» поможет вам в этом. Этот курс был создан ведущими специалистами в области медицины и образования, чтобы дать вам необходимые знания и навыки для достижения успеха в вашей профессии.
На занятиях вы научитесь проводить точную диагностику неврологических нарушений у детей разных возрастов, избегать типичных ошибок в диагностике и лечении, а также улучшите навыки взаимодействия с родителями и коллегами.
В рамках курса будут рассмотрены реальные клинические случаи из практики, типичные ошибки диагностики и лечения, а также правила общения с родителями и другими специалистами. Вы научитесь диагностировать и оценивать неврологическое состояние детей: СДВГ, нарушения нейроразвития, головные боли и другие заболевания.
После завершения курса вы получите 144 балла НМО и удостоверение о повышении квалификации.
Не упустите шанс улучшить свою профессиональную компетентность и качество жизни своих маленьких пациентов! Записывайтесь по ссылке: https://muir-events.ru/osn...
Видеокурс «Основы детской неврологии. Диагностика и лечение распространенных заболеваний» поможет вам в этом. Этот курс был создан ведущими специалистами в области медицины и образования, чтобы дать вам необходимые знания и навыки для достижения успеха в вашей профессии.
На занятиях вы научитесь проводить точную диагностику неврологических нарушений у детей разных возрастов, избегать типичных ошибок в диагностике и лечении, а также улучшите навыки взаимодействия с родителями и коллегами.
В рамках курса будут рассмотрены реальные клинические случаи из практики, типичные ошибки диагностики и лечения, а также правила общения с родителями и другими специалистами. Вы научитесь диагностировать и оценивать неврологическое состояние детей: СДВГ, нарушения нейроразвития, головные боли и другие заболевания.
После завершения курса вы получите 144 балла НМО и удостоверение о повышении квалификации.
Не упустите шанс улучшить свою профессиональную компетентность и качество жизни своих маленьких пациентов! Записывайтесь по ссылке: https://muir-events.ru/osn...
Показать больше
3 мс. назад
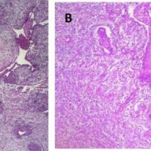
Редкая опухоль пищевода
Женщина, 74 года
В анамнезе гипертоническая болезнь, ХБП. Месяц назад стала отмечать трудности при глотании, снижение аппетита, тошноту и рвоту. Дисфагия более выражена при употреблении твёрдой пищи. Стул без примеси крови, лихорадки, слабости и потери веса не было.
📌 Из-за изменений в алгоритмах ВКонтакте мы вынуждены публиковать только анонсы.
Подробнее — vk.com/wall-82566597_45225
Полная версия кейса:
🔹 В Telegram → t.me/medcaseonline
🔹 По подписке во ВКонтакте → раздел VK Donut нашей группы
#medcase #терапия #гастроэнтерология #хирургия #онкология
Женщина, 74 года
В анамнезе гипертоническая болезнь, ХБП. Месяц назад стала отмечать трудности при глотании, снижение аппетита, тошноту и рвоту. Дисфагия более выражена при употреблении твёрдой пищи. Стул без примеси крови, лихорадки, слабости и потери веса не было.
📌 Из-за изменений в алгоритмах ВКонтакте мы вынуждены публиковать только анонсы.
Подробнее — vk.com/wall-82566597_45225
Полная версия кейса:
🔹 В Telegram → t.me/medcaseonline
🔹 По подписке во ВКонтакте → раздел VK Donut нашей группы
#medcase #терапия #гастроэнтерология #хирургия #онкология
Показать больше
3 мс. назад
Кровь в легких: клинические проявления и поиск причины
Мужчина, 57 лет
В анамнезе гипертоническая болезнь.
Обратился в отделение неотложной помощи с жалобами на усиливающуюся в течение двух недель одышку. При дыхании атмосферным воздухом его сатурация составляла 68 %. Он был дезориентирован и не мог говорить.
При осмотре определяются диффузные хрипы в обоих лёгких. Пациент был интубирован.
По данным рентгенографии ОГК определяются плотные перихилярные затемнения в обоих лёгких в форме «крыла летучей мыши» (рис. A)...
📌 Из-за изменений в алгоритмах ВКонтакте мы вынуждены публиковать только анонсы.
Подробнее — vk.com/wall-82566597_45225
Полная версия кейса:
🔹 В Telegram → t.me/medcaseonline
🔹 По подписке во ВКонтакте → раздел VK Donut нашей группы
#medcase #терапия #ревматология #пульмонология
Мужчина, 57 лет
В анамнезе гипертоническая болезнь.
Обратился в отделение неотложной помощи с жалобами на усиливающуюся в течение двух недель одышку. При дыхании атмосферным воздухом его сатурация составляла 68 %. Он был дезориентирован и не мог говорить.
При осмотре определяются диффузные хрипы в обоих лёгких. Пациент был интубирован.
По данным рентгенографии ОГК определяются плотные перихилярные затемнения в обоих лёгких в форме «крыла летучей мыши» (рис. A)...
📌 Из-за изменений в алгоритмах ВКонтакте мы вынуждены публиковать только анонсы.
Подробнее — vk.com/wall-82566597_45225
Полная версия кейса:
🔹 В Telegram → t.me/medcaseonline
🔹 По подписке во ВКонтакте → раздел VK Donut нашей группы
#medcase #терапия #ревматология #пульмонология
Показать больше
3 мс. назад
📢 Обновление по поводу ухода из ВКонтакте
Недавно мы писали, что закрываем группу Medcase во ВКонтакте. Напомним, почему:
Ведение сообщества стоит денег. Раньше за счёт рекламы мы могли оплачивать работу редакторов и выходить хотя бы в ноль. Группа росла, был стабильный трафик. Но ВК изменил алгоритмы — нас отключили от рекомендаций. Подписки остановились.
Сначала ушли рекламодатели, потом нас исключили из партнёрской программы (требуется 1500 новых подписчиков в месяц). В итоге мы остались на чистом энтузиазме.
Мы предложили вам подписываться на Telegram, но за последние недели получили десятки сообщений от читателей: многим удобнее пользоваться вк и просят оставить посты здесь.
🔹 Мы вас услышали — и нашли компромисс:
Теперь есть два варианта:
1. Telegram — публикуем полные посты бесплатно.
👉 t.me/medcaseonline
(но скоро там появится реклама)
2. Платная подписка ВКонтакте — здесь будут полные посты без рекламы и обсуждения.
💳 Всего 80 рублей в месяц — посильная сумма для любого врача, ординатора или студента.
👉 [https://vk.com/medcaseonli...
Клинические случаи из вашей практики, которые вы отправляете нам через предложку, мы продолжим публиковать в бесплатной версии в полном формате.
Мы протестируем этот формат и надеемся, что он позволит сохранить Medcase. Без вашей поддержки продолжать работу стало невозможно.
Недавно мы писали, что закрываем группу Medcase во ВКонтакте. Напомним, почему:
Ведение сообщества стоит денег. Раньше за счёт рекламы мы могли оплачивать работу редакторов и выходить хотя бы в ноль. Группа росла, был стабильный трафик. Но ВК изменил алгоритмы — нас отключили от рекомендаций. Подписки остановились.
Сначала ушли рекламодатели, потом нас исключили из партнёрской программы (требуется 1500 новых подписчиков в месяц). В итоге мы остались на чистом энтузиазме.
Мы предложили вам подписываться на Telegram, но за последние недели получили десятки сообщений от читателей: многим удобнее пользоваться вк и просят оставить посты здесь.
🔹 Мы вас услышали — и нашли компромисс:
Теперь есть два варианта:
1. Telegram — публикуем полные посты бесплатно.
👉 t.me/medcaseonline
(но скоро там появится реклама)
2. Платная подписка ВКонтакте — здесь будут полные посты без рекламы и обсуждения.
💳 Всего 80 рублей в месяц — посильная сумма для любого врача, ординатора или студента.
👉 [https://vk.com/medcaseonli...
Клинические случаи из вашей практики, которые вы отправляете нам через предложку, мы продолжим публиковать в бесплатной версии в полном формате.
Мы протестируем этот формат и надеемся, что он позволит сохранить Medcase. Без вашей поддержки продолжать работу стало невозможно.
Показать больше
При финансовой поддержке
Memes Admin
4 мс. назад