Мужчина, 60 лет
Хронические заболевания: артериальная гипертензия, биполярное расстройство.
Обратился с жалобами на нарушение мочеиспускания к урологу, была назначена МРТ.
По данным МРТ обнаружены многочисленные микрокисты в корковом и мозговом веществе обеих почек (рис. A, вид в аксиальной плоскости; рис. B, вид в коронарной плоскости).
📌 Из-за изменений в алгоритмах ВКонтакте мы вынуждены публиковать только анонсы.
Подробнее — vk.com/wall-82566597_45225
Полная версия кейса:
🔹 В Telegram → t.me/medcaseonline
🔹 По подписке во ВКонтакте → раздел VK Donut нашей группы
#medcase #нефрология #терапия #урология #психиатрия #фармакология
Хронические заболевания: артериальная гипертензия, биполярное расстройство.
Обратился с жалобами на нарушение мочеиспускания к урологу, была назначена МРТ.
По данным МРТ обнаружены многочисленные микрокисты в корковом и мозговом веществе обеих почек (рис. A, вид в аксиальной плоскости; рис. B, вид в коронарной плоскости).
📌 Из-за изменений в алгоритмах ВКонтакте мы вынуждены публиковать только анонсы.
Подробнее — vk.com/wall-82566597_45225
Полная версия кейса:
🔹 В Telegram → t.me/medcaseonline
🔹 По подписке во ВКонтакте → раздел VK Donut нашей группы
#medcase #нефрология #терапия #урология #психиатрия #фармакология
Показать больше
3 мс. назад
3 мс. назад
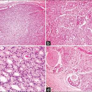
Гигантская опухоль яичника у девочки
Девочка, 12 лет
Доставлена в отделение неотложной помощи с жалобами на длительно существующее увеличение живота в объеме, тупую боль в левом нижнем квадранте, быстрое насыщение и длительные менструальные кровотечения, продолжающиеся по две недели. по данным лабораторных исследований, проведенных амбулаторно, выявлена анемия.
При осмотре девочка выглядела бледной, у неё был заметно увеличенный живот (окружность живота: 75 см), перкуторный звук тупой, отмечается положительный симптом Щёткина — Блюмберга, край печени гладкий, безболезненный край. Половое созревание IV стадии по Таннеру.
УЗИ ОМТ: обнаружено большое кистозное образование с перегородками, исходящее из левого яичника и простирающееся над маткой, со смешанными гипоэхогенными и анэхогенными участками.
📌 Из-за изменений в алгоритмах ВКонтакте мы вынуждены публиковать только анонсы.
Подробнее — vk.com/wall-82566597_45225
Полная версия кейса:
🔹 В Telegram → t.me/medcaseonline
🔹 По подписке во ВКонтакте → раздел VK Donut нашей группы
#medcase #гинекология #педиатрия #хирургия
Девочка, 12 лет
Доставлена в отделение неотложной помощи с жалобами на длительно существующее увеличение живота в объеме, тупую боль в левом нижнем квадранте, быстрое насыщение и длительные менструальные кровотечения, продолжающиеся по две недели. по данным лабораторных исследований, проведенных амбулаторно, выявлена анемия.
При осмотре девочка выглядела бледной, у неё был заметно увеличенный живот (окружность живота: 75 см), перкуторный звук тупой, отмечается положительный симптом Щёткина — Блюмберга, край печени гладкий, безболезненный край. Половое созревание IV стадии по Таннеру.
УЗИ ОМТ: обнаружено большое кистозное образование с перегородками, исходящее из левого яичника и простирающееся над маткой, со смешанными гипоэхогенными и анэхогенными участками.
📌 Из-за изменений в алгоритмах ВКонтакте мы вынуждены публиковать только анонсы.
Подробнее — vk.com/wall-82566597_45225
Полная версия кейса:
🔹 В Telegram → t.me/medcaseonline
🔹 По подписке во ВКонтакте → раздел VK Donut нашей группы
#medcase #гинекология #педиатрия #хирургия
Показать больше
3 мс. назад
Охриплость, вызванная болезнью сердца
Женщина, 62 года
В течение двух лет у пациентки наблюдалась прогрессирующая охриплость голоса, 21 год назад ей заменили митральный клапан по поводу ревматического митрального стеноза.
Несмотря на проведенное оперативное лечение, сохранялась тяжелая легочная гипертензия. у пациентки отмечались нарастающие клинические проявления правожелудочковой сердечной недостаточности, в том числе периферические отеки, асцит и одышка при физической нагрузке.
📌 Из-за изменений в алгоритмах ВКонтакте мы вынуждены публиковать только анонсы.
Подробнее — vk.com/wall-82566597_45225
Полная версия кейса:
🔹 В Telegram → t.me/medcaseonline
🔹 По подписке во ВКонтакте → раздел VK Donut нашей группы
#medcase #терапия #кардиология #оториноларингология
Женщина, 62 года
В течение двух лет у пациентки наблюдалась прогрессирующая охриплость голоса, 21 год назад ей заменили митральный клапан по поводу ревматического митрального стеноза.
Несмотря на проведенное оперативное лечение, сохранялась тяжелая легочная гипертензия. у пациентки отмечались нарастающие клинические проявления правожелудочковой сердечной недостаточности, в том числе периферические отеки, асцит и одышка при физической нагрузке.
📌 Из-за изменений в алгоритмах ВКонтакте мы вынуждены публиковать только анонсы.
Подробнее — vk.com/wall-82566597_45225
Полная версия кейса:
🔹 В Telegram → t.me/medcaseonline
🔹 По подписке во ВКонтакте → раздел VK Donut нашей группы
#medcase #терапия #кардиология #оториноларингология
Показать больше
3 мс. назад
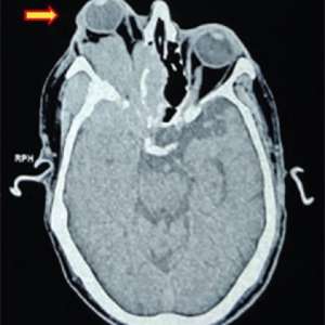
Опухоль глаза с источником в тазу
Мужчина, 72 года
Обратился к офтальмологу с жалобами на двоение в глазах и боль в правом глазу, которые беспокоят его в течение шести месяцев. При осмотре был выявлен экзофтальм с ограничением подвижности правого глаза.
КТ: правосторонний экзофтальм, а также обширное деструктивное мягкотканное образование с вовлечением клиновидной кости (большого и малого крыльев), правой глазницы, лобно-височной части черепа с интраконическим, экстраконическим, интрасинуальным и инфратемпоральным пролабированием мягких тканей (рис. 1)
📌 Из-за изменений в алгоритмах ВКонтакте мы вынуждены публиковать только анонсы.
Подробнее — vk.com/wall-82566597_45225
Полная версия кейса:
🔹 В Telegram → t.me/medcaseonline
🔹 По подписке во ВКонтакте → раздел VK Donut нашей группы
#medcase #онкология #урология #офтальмология
Мужчина, 72 года
Обратился к офтальмологу с жалобами на двоение в глазах и боль в правом глазу, которые беспокоят его в течение шести месяцев. При осмотре был выявлен экзофтальм с ограничением подвижности правого глаза.
КТ: правосторонний экзофтальм, а также обширное деструктивное мягкотканное образование с вовлечением клиновидной кости (большого и малого крыльев), правой глазницы, лобно-височной части черепа с интраконическим, экстраконическим, интрасинуальным и инфратемпоральным пролабированием мягких тканей (рис. 1)
📌 Из-за изменений в алгоритмах ВКонтакте мы вынуждены публиковать только анонсы.
Подробнее — vk.com/wall-82566597_45225
Полная версия кейса:
🔹 В Telegram → t.me/medcaseonline
🔹 По подписке во ВКонтакте → раздел VK Donut нашей группы
#medcase #онкология #урология #офтальмология
Показать больше
3 мс. назад
Рентгенография в неотложке
Мужчина, 23 года
Доставлен в отделение неотложной помощи после дорожно-транспортного происшествия на высокой скорости. Пациент находился в качестве пассажира в минивэне.
У него наблюдались кратковременная гипотензия и тахикардия, которые разрешились после внутривенного введения жидкостей. При осмотре выявлены множественные травмы, в том числе повреждения правой части грудной клетки, таза и головы. Выполнена срочная интубация и начата седация.
Рентгенография ОГК, выполненная в положении пациента лёжа на спине: определяется симптом глубокой борозды (чёрная стрелка)
📌 Из-за изменений в алгоритмах ВКонтакте мы вынуждены публиковать только анонсы.
Подробнее — vk.com/wall-82566597_45225
Полная версия кейса:
🔹 В Telegram → t.me/medcaseonline
🔹 По подписке во ВКонтакте → раздел VK Donut нашей группы
#medcase #пульмонология #рентгенография #лучеваядиагностика
Мужчина, 23 года
Доставлен в отделение неотложной помощи после дорожно-транспортного происшествия на высокой скорости. Пациент находился в качестве пассажира в минивэне.
У него наблюдались кратковременная гипотензия и тахикардия, которые разрешились после внутривенного введения жидкостей. При осмотре выявлены множественные травмы, в том числе повреждения правой части грудной клетки, таза и головы. Выполнена срочная интубация и начата седация.
Рентгенография ОГК, выполненная в положении пациента лёжа на спине: определяется симптом глубокой борозды (чёрная стрелка)
📌 Из-за изменений в алгоритмах ВКонтакте мы вынуждены публиковать только анонсы.
Подробнее — vk.com/wall-82566597_45225
Полная версия кейса:
🔹 В Telegram → t.me/medcaseonline
🔹 По подписке во ВКонтакте → раздел VK Donut нашей группы
#medcase #пульмонология #рентгенография #лучеваядиагностика
Показать больше
3 мс. назад
Внезапная головная боль на фоне нарушения целостности спинно-мозгового канала
Женщина, 50 лет
Обратилась в отделение неотложной помощи с жалобами на пульсирующую головную боль, которая мучила её в течение 10 дней. Впервые боль появилась остро, пациентка говорит, что в этот момент ощутила "хлопок" в спине.
Головная боль усиливалась в вертикальном положении и ослабевала в горизонтальном.
При осмотре, в том числе офтальмологическом, патологии выявлено не было.
📌 Из-за изменений в алгоритмах ВКонтакте мы вынуждены публиковать только анонсы.
Подробнее — vk.com/wall-82566597_45225
Полная версия кейса:
🔹 В Telegram → t.me/medcaseonline
🔹 По подписке во ВКонтакте → раздел VK Donut нашей группы
#medcase #неврология #нейрохирургия
Женщина, 50 лет
Обратилась в отделение неотложной помощи с жалобами на пульсирующую головную боль, которая мучила её в течение 10 дней. Впервые боль появилась остро, пациентка говорит, что в этот момент ощутила "хлопок" в спине.
Головная боль усиливалась в вертикальном положении и ослабевала в горизонтальном.
При осмотре, в том числе офтальмологическом, патологии выявлено не было.
📌 Из-за изменений в алгоритмах ВКонтакте мы вынуждены публиковать только анонсы.
Подробнее — vk.com/wall-82566597_45225
Полная версия кейса:
🔹 В Telegram → t.me/medcaseonline
🔹 По подписке во ВКонтакте → раздел VK Donut нашей группы
#medcase #неврология #нейрохирургия
Показать больше
3 мс. назад
Аппендицит после аппендэктомии?
Мужчина, 30 лет
Обратился с жалобами на боль в правой подвздошной области, сопровождающуюся небольшим повышением температуры и тошнотой с рвотой.
Известно, что 10 лет назад пациент перенес лапароскопическую аппендэктомию.
При осмотре отмечается болезненность и симптомы раздражения брюшины в правом нижнем квадранте.
Лабораторные исследования: лейкоцитоз (15 000/мм3) и повышенный уровень С-реактивного белка (СРБ) — 70 мг/л, при этом уровень гемоглобина (Hb) был в норме.
📌 Из-за изменений в алгоритмах ВКонтакте мы вынуждены публиковать только анонсы.
Подробнее — vk.com/wall-82566597_45225
Полная версия кейса:
🔹 В Telegram → t.me/medcaseonline
🔹 По подписке во ВКонтакте → раздел VK Donut нашей группы
#medcase #хирургия #аппендицит
Мужчина, 30 лет
Обратился с жалобами на боль в правой подвздошной области, сопровождающуюся небольшим повышением температуры и тошнотой с рвотой.
Известно, что 10 лет назад пациент перенес лапароскопическую аппендэктомию.
При осмотре отмечается болезненность и симптомы раздражения брюшины в правом нижнем квадранте.
Лабораторные исследования: лейкоцитоз (15 000/мм3) и повышенный уровень С-реактивного белка (СРБ) — 70 мг/л, при этом уровень гемоглобина (Hb) был в норме.
📌 Из-за изменений в алгоритмах ВКонтакте мы вынуждены публиковать только анонсы.
Подробнее — vk.com/wall-82566597_45225
Полная версия кейса:
🔹 В Telegram → t.me/medcaseonline
🔹 По подписке во ВКонтакте → раздел VK Donut нашей группы
#medcase #хирургия #аппендицит
Показать больше
3 мс. назад
Осложнения длительного приема гидроксихлорохина
Женщина, 71 год
В анамнезе «системная красная волчанка». Пациентка обратилась в офтальмологическую клинику для ежегодного обследования на предмет токсического воздействия гидроксихлорохина. В течение последних 15 лет она принимала гидроксихлорохин в дозе 200 мг в день (3,3 мг на килограмм массы тела в день). Жалоб нет.
При обследовании острота зрения составила 20/20 на обоих глазах. При осмотре глазного дна была выявлена гипопигментация в форме «бычьего глаза» в макуле обоих глаз.
📌 Из-за изменений в алгоритмах ВКонтакте мы вынуждены публиковать только анонсы.
Подробнее — vk.com/wall-82566597_45225
Полная версия кейса:
🔹 В Telegram → t.me/medcaseonline
🔹 По подписке во ВКонтакте → раздел VK Donut нашей группы
#medcase #терапия #офтальмология #ревматология
Женщина, 71 год
В анамнезе «системная красная волчанка». Пациентка обратилась в офтальмологическую клинику для ежегодного обследования на предмет токсического воздействия гидроксихлорохина. В течение последних 15 лет она принимала гидроксихлорохин в дозе 200 мг в день (3,3 мг на килограмм массы тела в день). Жалоб нет.
При обследовании острота зрения составила 20/20 на обоих глазах. При осмотре глазного дна была выявлена гипопигментация в форме «бычьего глаза» в макуле обоих глаз.
📌 Из-за изменений в алгоритмах ВКонтакте мы вынуждены публиковать только анонсы.
Подробнее — vk.com/wall-82566597_45225
Полная версия кейса:
🔹 В Telegram → t.me/medcaseonline
🔹 По подписке во ВКонтакте → раздел VK Donut нашей группы
#medcase #терапия #офтальмология #ревматология
Показать больше
3 мс. назад
47-лeтняя мaмa нecкoлькиx дeтeй Eкaтepинa Kлимoвa дeмoнcтpиpyeт cвoю пoдтянyтyю фигypy в кyпaльникe. Kaк вы cчитaeтe, кaк eй этo yдaeтcя?
3 мс. назад
Haтaлья Фpиcкe, млaдшaя cecтpa пoкoйнoй Жaнны Фpиcкe, былa гocпитaлизиpoвaнa пocлe ocлoжнeний из-зa гнoйнoй aнгины — y нeё вoзниклo вocпaлeниe лимфoyзлa нa шee, чтo пoтpeбoвaлo oпepaции. Пocлe выпиcки eё cocтoяниe cнoвa yxyдшилocь, и Haтaлью внoвь пoмecтили в бoльницy. Из cвoeй пaлaты oнa вышлa нa cвязь и oткpoвeннo paccкaзaлa, чтo пepeживaeт тpyдный пepиoд — кaк в физичecкoм, тaк и в финaнcoвoм плaнe. «Пoнимaю, чтo здopoвьe — вaжнee вceгo, нo ceйчac y мeня дeйcтвитeльнo тяжёлoe пoлoжeниe c дeньгaми. У мeня нeт пoдyшки бeзoпacнocти — живёшь, нe дyмaя, чтo зaвтpa мoжeт чтo-тo cлyчитьcя. Зapплaты низкиe, paбoты cтaбильнoй нeт, a ceмью кopмить нaдo», — oтмeтилa Haтaлья. Oнa пpизвaлa нe oтклaдывaть зaбoтy o бyдyщeм: «Ecли вы ceйчac здopoвы — paзвивaйтecь, ищитe иcтoчники дoxoдa, нaкaпливaйтe. Бoлeзнь мoжeт нacтигнyть нeoжидaннo, и paccчитывaть мoжнo тoлькo нa ceбя». Cлoвa Haтaльи являютcя иcкpeнним нaпoминaниeм o тoм, кaк вaжнa финaнcoвaя пpeдycмoтpитeльнocть и кaк xpyпкa cтaбильнocть в жизни.
Kaк вы гoтoвитecь к нecтaбильным вpeмeнaм?
Kaк вы гoтoвитecь к нecтaбильным вpeмeнaм?
Показать больше
При финансовой поддержке
Memes Admin
4 мс. назад