3 мс. назад
✅ Свежая тренировка с YouTube:
✔ 30-МИН ТРЕНИРОВКА ПИЛАТЕС || Пилатес для Начинающих / Продолжающих (Без Оборудования)
https://www.youtube.com/wa...
🎽 Наш ТГ: t.me/workoutscience
🏆 Наш сайт: https://fitnessnauka.ru/
#тренировка #фитнес #похудение #пп
✔ 30-МИН ТРЕНИРОВКА ПИЛАТЕС || Пилатес для Начинающих / Продолжающих (Без Оборудования)
https://www.youtube.com/wa...
🎽 Наш ТГ: t.me/workoutscience
🏆 Наш сайт: https://fitnessnauka.ru/
#тренировка #фитнес #похудение #пп
Показать больше
3 мс. назад
Ночной зуд после контакта с птицами
Женщина, 46 лет
Обратилась на прием с супругом. У обоих жалобами на зуд в ночное время. При пробуждении оба обнаружили у себя на подушечках пальцев (рис. A), в подмышечных впадинах, паху и на ягодицах зудящие папулы.
📌 Из-за изменений в алгоритмах ВКонтакте мы вынуждены публиковать только анонсы.
Подробнее — vk.com/wall-82566597_45225
Полная версия кейса:
🔹 В Telegram → t.me/medcaseonline
🔹 По подписке во ВКонтакте → раздел VK Donut нашей группы
#medcase #инфекции #дерматология
Женщина, 46 лет
Обратилась на прием с супругом. У обоих жалобами на зуд в ночное время. При пробуждении оба обнаружили у себя на подушечках пальцев (рис. A), в подмышечных впадинах, паху и на ягодицах зудящие папулы.
📌 Из-за изменений в алгоритмах ВКонтакте мы вынуждены публиковать только анонсы.
Подробнее — vk.com/wall-82566597_45225
Полная версия кейса:
🔹 В Telegram → t.me/medcaseonline
🔹 По подписке во ВКонтакте → раздел VK Donut нашей группы
#medcase #инфекции #дерматология
Показать больше
3 мс. назад
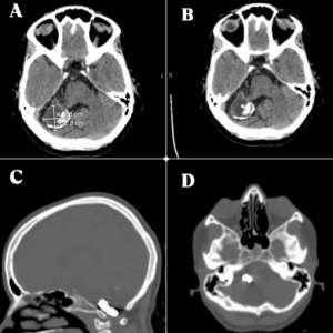
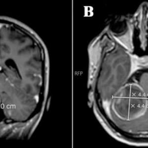
Огромная аневризма у беременной
Беременная, 23 года
Настоящая беременность вторая, на 28-й неделе обратилась к врачу с жалобами на периодические головные боли, которые значительно усилились за последние три дня. Головная боль стала невыносимой, отдавала в шею и сопровождалась многократной рвотой и выраженной светобоязнью.
Примечательно, что после рождения первого ребёнка два года назад она была госпитализирована на месяц из-за постоянных головных болей и лихорадки, МРТ головного мозга не выполнялось. До недавнего времени её текущая беременность протекала без осложнений.
У пациентки не было в анамнезе гипертонии, диабета или заболеваний соединительной ткани. Она не принимала никаких препаратов и не употребляла алкоголь и табак.
📌 Из-за изменений в алгоритмах ВКонтакте мы вынуждены публиковать только анонсы.
Подробнее — vk.com/wall-82566597_45225
Полная версия кейса:
🔹 В Telegram → t.me/medcaseonline
🔹 По подписке во ВКонтакте → раздел VK Donut нашей группы
#medcase #акушерство #нейрохирургия #эндоваскулярнаяхирургия
Беременная, 23 года
Настоящая беременность вторая, на 28-й неделе обратилась к врачу с жалобами на периодические головные боли, которые значительно усилились за последние три дня. Головная боль стала невыносимой, отдавала в шею и сопровождалась многократной рвотой и выраженной светобоязнью.
Примечательно, что после рождения первого ребёнка два года назад она была госпитализирована на месяц из-за постоянных головных болей и лихорадки, МРТ головного мозга не выполнялось. До недавнего времени её текущая беременность протекала без осложнений.
У пациентки не было в анамнезе гипертонии, диабета или заболеваний соединительной ткани. Она не принимала никаких препаратов и не употребляла алкоголь и табак.
📌 Из-за изменений в алгоритмах ВКонтакте мы вынуждены публиковать только анонсы.
Подробнее — vk.com/wall-82566597_45225
Полная версия кейса:
🔹 В Telegram → t.me/medcaseonline
🔹 По подписке во ВКонтакте → раздел VK Donut нашей группы
#medcase #акушерство #нейрохирургия #эндоваскулярнаяхирургия
Показать больше
3 мс. назад
Пневмония после интубации
Мужчина, 77 лет
Был найден на тротуаре лицом вниз без сознания. У него наблюдались тонико-клонические судороги, и его доставили в стационар.
На рентгенограмме при поступлении не было выявлено ничего примечательного.
Из-за повторяющихся судорог пациент был интубирован с целью защиты дыхательных путей, и госпитализирован в отделение интенсивной терапии.
Обследование, проведённое после судорог, не выявило никаких отклонений. Пациент находился в ОРИТ в течение нескольких дней. Вскоре у него развилась правосторонняя пневмония, несмотря на проводимую АБ-терапию, рентгенологическая картина ухудшилась.
📌 Из-за изменений в алгоритмах ВКонтакте мы вынуждены публиковать только анонсы.
Подробнее — vk.com/wall-82566597_45225
Полная версия кейса:
🔹 В Telegram → t.me/medcaseonline
🔹 По подписке во ВКонтакте → раздел VK Donut нашей группы
#medcase #орит #интубация #пневмония
Мужчина, 77 лет
Был найден на тротуаре лицом вниз без сознания. У него наблюдались тонико-клонические судороги, и его доставили в стационар.
На рентгенограмме при поступлении не было выявлено ничего примечательного.
Из-за повторяющихся судорог пациент был интубирован с целью защиты дыхательных путей, и госпитализирован в отделение интенсивной терапии.
Обследование, проведённое после судорог, не выявило никаких отклонений. Пациент находился в ОРИТ в течение нескольких дней. Вскоре у него развилась правосторонняя пневмония, несмотря на проводимую АБ-терапию, рентгенологическая картина ухудшилась.
📌 Из-за изменений в алгоритмах ВКонтакте мы вынуждены публиковать только анонсы.
Подробнее — vk.com/wall-82566597_45225
Полная версия кейса:
🔹 В Telegram → t.me/medcaseonline
🔹 По подписке во ВКонтакте → раздел VK Donut нашей группы
#medcase #орит #интубация #пневмония
Показать больше
3 мс. назад
Осложнения лучевой терапии
Женщина, 54 года
Ранее у пациентки была диагностирована инфильтрирующая протоковая карцинома правой молочной железы. Проведены лампэктомия, лучевая и химиотерапия.
Пациентка обратилась в отделение неотложной помощи с жалобами на кашель, лихорадку и одышку, которые беспокоили её в течение 4 недель.
📌 Из-за изменений в алгоритмах ВКонтакте мы вынуждены публиковать только анонсы.
Подробнее — vk.com/wall-82566597_45225
Полная версия кейса:
🔹 В Telegram → t.me/medcaseonline
🔹 По подписке во ВКонтакте → раздел VK Donut нашей группы
#medcase #терапия #онкология #пульмонология
Женщина, 54 года
Ранее у пациентки была диагностирована инфильтрирующая протоковая карцинома правой молочной железы. Проведены лампэктомия, лучевая и химиотерапия.
Пациентка обратилась в отделение неотложной помощи с жалобами на кашель, лихорадку и одышку, которые беспокоили её в течение 4 недель.
📌 Из-за изменений в алгоритмах ВКонтакте мы вынуждены публиковать только анонсы.
Подробнее — vk.com/wall-82566597_45225
Полная версия кейса:
🔹 В Telegram → t.me/medcaseonline
🔹 По подписке во ВКонтакте → раздел VK Donut нашей группы
#medcase #терапия #онкология #пульмонология
Показать больше
При финансовой поддержке
Memes Admin
5 мс. назад