3 мс. назад
Готовьтесь, завтра отключат холодную воду.
До воскресенья без воды останутся жители части Октябрьского района, а также местами Центрального и Железнодорожного районов.
Отключение запланировано с 23:00 22 августа и до 23:00 24 августа.
До воскресенья без воды останутся жители части Октябрьского района, а также местами Центрального и Железнодорожного районов.
Отключение запланировано с 23:00 22 августа и до 23:00 24 августа.
Показать больше
3 мс. назад
Сегодня над Россией взойдёт редчайшая Чёрная Луна.
Астрологи предупредили, что этот день опасен для всех знаков зодиака: возрастает риск ссор, критика воспринимается острее.
Эксперты советуют избегать конфликтов, новых дел и серьёзных решений.
Астрологи предупредили, что этот день опасен для всех знаков зодиака: возрастает риск ссор, критика воспринимается острее.
Эксперты советуют избегать конфликтов, новых дел и серьёзных решений.
Показать больше
3 мс. назад
Проезд в общественном транспорте Красноярска хотят сделать дороже.
Министерство тарифной политики опубликовало проекты приказов. По документам, билет на автобус будет стоить 48 рублей, вместо 44, в трамваях и троллейбусах — 46 (было 40).
Предположительно, платить больше придётся с 1 сентября.
Министерство тарифной политики опубликовало проекты приказов. По документам, билет на автобус будет стоить 48 рублей, вместо 44, в трамваях и троллейбусах — 46 (было 40).
Предположительно, платить больше придётся с 1 сентября.
Показать больше
3 мс. назад
Инфекционная аневризма сосуда головного мозга
Мужчина, 70 лет
Родом из Новой Зеландии, направлен с проявлениями дисфазии и нехарактерного поведения.
Сопутствующие заболевания отрицает, ранее курил трубку, в настоящее время живет в отдаленной местности в доме на колесах.
Анамнез настоящего заболевания:
В течение нескольких последних месяцев пациент неоднократно обращался к своему терапевту с жалобами на постоянную тошноту, усталость и потерю веса. Он был госпитализирован в терапевтическое отделение с диагнозом «кахексия» в связи с непреднамеренной потерей веса примерно на 20 кг за 2 месяца.
Лечащий врач, наблюдавший его во время первой госпитализации, отметил, что у него был слегка повышен уровень С-реактивного белка. Была выполнена КТ ОГК, ОБП и ОМТ, но признаков злокачественных новообразований или эмболии не было выявлено. Также выполнены ЭГДС и колоноскопия - отклонений не выявлено. Обращал на себя внимание новый комбинированный систолический и низкочастотный ранний диастолический шум над аортой. Пациент был выписан и рекомендовано проведение ЭХО-КГ в амбулаторных условиях.
В ожидании результатов амбулаторного обследования пациент пришёл в гости к своей сестре в состоянии спутанности сознания и с затруднённой речью. Сестра пациента вызвала скорую помощь.
📌 Из-за изменений в алгоритмах ВКонтакте мы вынуждены публиковать только анонсы.
Подробнее — vk.com/wall-82566597_45225
Полная версия кейса:
🔹 В Telegram → t.me/medcaseonline
🔹 По подписке во ВКонтакте → раздел VK Donut нашей группы
#medcase #терапия #кардиология #кардиохирургия #неврология #нейрохирургия
Мужчина, 70 лет
Родом из Новой Зеландии, направлен с проявлениями дисфазии и нехарактерного поведения.
Сопутствующие заболевания отрицает, ранее курил трубку, в настоящее время живет в отдаленной местности в доме на колесах.
Анамнез настоящего заболевания:
В течение нескольких последних месяцев пациент неоднократно обращался к своему терапевту с жалобами на постоянную тошноту, усталость и потерю веса. Он был госпитализирован в терапевтическое отделение с диагнозом «кахексия» в связи с непреднамеренной потерей веса примерно на 20 кг за 2 месяца.
Лечащий врач, наблюдавший его во время первой госпитализации, отметил, что у него был слегка повышен уровень С-реактивного белка. Была выполнена КТ ОГК, ОБП и ОМТ, но признаков злокачественных новообразований или эмболии не было выявлено. Также выполнены ЭГДС и колоноскопия - отклонений не выявлено. Обращал на себя внимание новый комбинированный систолический и низкочастотный ранний диастолический шум над аортой. Пациент был выписан и рекомендовано проведение ЭХО-КГ в амбулаторных условиях.
В ожидании результатов амбулаторного обследования пациент пришёл в гости к своей сестре в состоянии спутанности сознания и с затруднённой речью. Сестра пациента вызвала скорую помощь.
📌 Из-за изменений в алгоритмах ВКонтакте мы вынуждены публиковать только анонсы.
Подробнее — vk.com/wall-82566597_45225
Полная версия кейса:
🔹 В Telegram → t.me/medcaseonline
🔹 По подписке во ВКонтакте → раздел VK Donut нашей группы
#medcase #терапия #кардиология #кардиохирургия #неврология #нейрохирургия
Показать больше
3 мс. назад
"Снеговик"
Женщина, 47 лет
Обратилась к неврологу с жалобами на усиливающиеся головные боли, сопровождающиеся ухудшением зрения, галактореей и нерегулярным менструальным циклом.
При осмотре отмечено снижение остроты зрения до 20/50 на обоих глазах, при этом поля зрения и движения глаз были в норме.
📌 Из-за изменений в алгоритмах ВКонтакте мы вынуждены публиковать только анонсы.
Подробнее — vk.com/wall-82566597_45225
Полная версия кейса:
🔹 В Telegram → t.me/medcaseonline
🔹 По подписке во ВКонтакте → раздел VK Donut нашей группы
#medcase #эндокринология #хирургия
Женщина, 47 лет
Обратилась к неврологу с жалобами на усиливающиеся головные боли, сопровождающиеся ухудшением зрения, галактореей и нерегулярным менструальным циклом.
При осмотре отмечено снижение остроты зрения до 20/50 на обоих глазах, при этом поля зрения и движения глаз были в норме.
📌 Из-за изменений в алгоритмах ВКонтакте мы вынуждены публиковать только анонсы.
Подробнее — vk.com/wall-82566597_45225
Полная версия кейса:
🔹 В Telegram → t.me/medcaseonline
🔹 По подписке во ВКонтакте → раздел VK Donut нашей группы
#medcase #эндокринология #хирургия
Показать больше
3 мс. назад
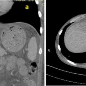
Симптомная доброкачественная опухоль
Женщина, 59 лет
Обратилась с жалобами на боль в животе, потерю аппетита и рвоту без примеси желчи, которые беспокоят её в течение года. При осмотре живот был мягким и безболезненным, объемных образований при пальпации не определяется.
Выполнена ЭГДС, обнаружена язва размером 0,5 × 0,5 см в привратнике. Однако дальнейшее обследование было невозможно из-за деформации привратника. Взята биопсия изъязвленной слизистой. Заключение - хронический гастрит.
КТ (рис. 1): обнаружено чётко очерченное образование размером 2,5 × 3,0 см в головке поджелудочной железы, сдавливающее двенадцатиперстную кишку...
📌 Из-за изменений в алгоритмах ВКонтакте мы вынуждены публиковать только анонсы.
Подробнее — vk.com/wall-82566597_45225
Полная версия кейса:
🔹 В Telegram → t.me/medcaseonline
🔹 По подписке во ВКонтакте → раздел VK Donut нашей группы
#medcase #хирургия #онкология
Женщина, 59 лет
Обратилась с жалобами на боль в животе, потерю аппетита и рвоту без примеси желчи, которые беспокоят её в течение года. При осмотре живот был мягким и безболезненным, объемных образований при пальпации не определяется.
Выполнена ЭГДС, обнаружена язва размером 0,5 × 0,5 см в привратнике. Однако дальнейшее обследование было невозможно из-за деформации привратника. Взята биопсия изъязвленной слизистой. Заключение - хронический гастрит.
КТ (рис. 1): обнаружено чётко очерченное образование размером 2,5 × 3,0 см в головке поджелудочной железы, сдавливающее двенадцатиперстную кишку...
📌 Из-за изменений в алгоритмах ВКонтакте мы вынуждены публиковать только анонсы.
Подробнее — vk.com/wall-82566597_45225
Полная версия кейса:
🔹 В Telegram → t.me/medcaseonline
🔹 По подписке во ВКонтакте → раздел VK Donut нашей группы
#medcase #хирургия #онкология
Показать больше
3 мс. назад
Мужчина, 23 года
В течение двух месяцев пациент отмечает повышение артериального давления.
В 18 лет он получил травму левой половины туловища во время игры в американский футбол в колледже.
При обращении АД составило 180/100 мм рт. ст.
📌 Из-за изменений в алгоритмах ВКонтакте мы вынуждены публиковать только анонсы.
Подробнее — vk.com/wall-82566597_45225
Полная версия кейса:
🔹 В Telegram → t.me/medcaseonline
🔹 По подписке во ВКонтакте → раздел VK Donut нашей группы
#medcase #нефрология #травмы #урология #терапия
В течение двух месяцев пациент отмечает повышение артериального давления.
В 18 лет он получил травму левой половины туловища во время игры в американский футбол в колледже.
При обращении АД составило 180/100 мм рт. ст.
📌 Из-за изменений в алгоритмах ВКонтакте мы вынуждены публиковать только анонсы.
Подробнее — vk.com/wall-82566597_45225
Полная версия кейса:
🔹 В Telegram → t.me/medcaseonline
🔹 По подписке во ВКонтакте → раздел VK Donut нашей группы
#medcase #нефрология #травмы #урология #терапия
Показать больше
3 мс. назад
Абсцесс печени и ТЭЛА
Мужчина, 45 лет
Поступил с жалобами на повышение температуры тела с ознобом, боль в животе в течение 20 дней, учащённое сердцебиение и одышку в течение 10 дней. Боль в правом верхнем квадранте усиливалась при глубоком вдохе. Кроме того, пациент жаловался на прогрессирующий непродуктивный кашель, который сопровождался болью в нижней части грудной клетки.
Пациент часто употреблял алкоголь и внутривенные запрещенные препараты.
📌 Из-за изменений в алгоритмах ВКонтакте мы вынуждены публиковать только анонсы.
Подробнее — vk.com/wall-82566597_45225
Полная версия кейса:
🔹 В Telegram → t.me/medcaseonline
🔹 По подписке во ВКонтакте → раздел VK Donut нашей группы
#medcase #инфекции #хирургия #гнойнаяхирургия
Мужчина, 45 лет
Поступил с жалобами на повышение температуры тела с ознобом, боль в животе в течение 20 дней, учащённое сердцебиение и одышку в течение 10 дней. Боль в правом верхнем квадранте усиливалась при глубоком вдохе. Кроме того, пациент жаловался на прогрессирующий непродуктивный кашель, который сопровождался болью в нижней части грудной клетки.
Пациент часто употреблял алкоголь и внутривенные запрещенные препараты.
📌 Из-за изменений в алгоритмах ВКонтакте мы вынуждены публиковать только анонсы.
Подробнее — vk.com/wall-82566597_45225
Полная версия кейса:
🔹 В Telegram → t.me/medcaseonline
🔹 По подписке во ВКонтакте → раздел VK Donut нашей группы
#medcase #инфекции #хирургия #гнойнаяхирургия
Показать больше
3 мс. назад
Последствия зaвисимocти
Мужчина, 32 года
Месяц назад на груди появились раны, которые постепенно увеличивались в размерах.
📌 Из-за изменений в алгоритмах ВКонтакте мы вынуждены публиковать только анонсы.
Подробнее — vk.com/wall-82566597_45225
Полная версия кейса:
🔹 В Telegram → t.me/medcaseonline
🔹 По подписке во ВКонтакте → раздел VK Donut нашей группы
#medcase #травматология #пластическаяхирургия #психиатрия #наркология
Мужчина, 32 года
Месяц назад на груди появились раны, которые постепенно увеличивались в размерах.
📌 Из-за изменений в алгоритмах ВКонтакте мы вынуждены публиковать только анонсы.
Подробнее — vk.com/wall-82566597_45225
Полная версия кейса:
🔹 В Telegram → t.me/medcaseonline
🔹 По подписке во ВКонтакте → раздел VK Donut нашей группы
#medcase #травматология #пластическаяхирургия #психиатрия #наркология
Показать больше
3 мс. назад
Мужчина, 79 лет
Поступил с сердечной недостаточностью, сниженной фракцией выброса и фибрилляцией предсердий.
При поступлении пациент жалуется на одышку, которая беспокоила его в течение двух недель.
Осмотр: выявлены нарушения сердечного ритма, хрипы в обоих лёгких и отёки обеих ног до середины бедра. Давление в яремной вене составило 17 см вод. ст. (нормальное значение — < 4 см вод. ст.). При сильном и продолжительном надавливании на центр живота наблюдалось устойчивое повышение давления в яремной вене более чем на 3 см водяного столба в течение более 10 секунд.
#medcase #кардиология #терапия #пропедевтика
Поступил с сердечной недостаточностью, сниженной фракцией выброса и фибрилляцией предсердий.
При поступлении пациент жалуется на одышку, которая беспокоила его в течение двух недель.
Осмотр: выявлены нарушения сердечного ритма, хрипы в обоих лёгких и отёки обеих ног до середины бедра. Давление в яремной вене составило 17 см вод. ст. (нормальное значение — < 4 см вод. ст.). При сильном и продолжительном надавливании на центр живота наблюдалось устойчивое повышение давления в яремной вене более чем на 3 см водяного столба в течение более 10 секунд.
#medcase #кардиология #терапия #пропедевтика
Показать больше
При финансовой поддержке
Memes Admin
5 мс. назад