2 мс. назад
Бесплатный интенсив для ЛОР-врачей 10-11 сентября!
Практическое обучение приёмам работы с детьми. Повышение квалификации и интеграция детских подходов в ЛОР-практику. Два насыщенных дня — узнайте, как стать успешным детским ЛОРом!
Запишитесь на интенсив и получите ценные знания от квалифицированного специалиста с большим опытом работы в детской оториноларингологии: https://muir-events.ru/chi...
Практическое обучение приёмам работы с детьми. Повышение квалификации и интеграция детских подходов в ЛОР-практику. Два насыщенных дня — узнайте, как стать успешным детским ЛОРом!
Запишитесь на интенсив и получите ценные знания от квалифицированного специалиста с большим опытом работы в детской оториноларингологии: https://muir-events.ru/chi...
Показать больше
2 мс. назад
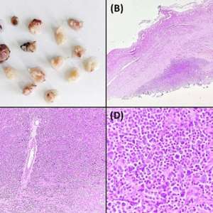
Необычная сочетанная патология
Женщина, 50 лет
В течение нескольких месяцев пациентку беспокоит хроническая боль в области таза. В связи с резким усилением болей за последние 2 суток и вздутием живота, пациентка вызвала скорую.
При отмечается вздутие живота и болезненность в правом нижнем квадранте. Дизурических симптомов нет.
УЗИ: матка не изменена, справа от нее расположены два образования: одно гипоэхогенное, размерами 14х10 см, с с солидным компонентом, второе образование размерами 6х5 см кистозно-солидной структуры, вероятно исходит из правых придатков, по IOTA M3.
📌 Из-за изменений в алгоритмах ВКонтакте мы вынуждены публиковать только анонсы.
Подробнее — vk.com/wall-82566597_45225
Полная версия кейса:
🔹 В Telegram → t.me/medcaseonline
🔹 По подписке во ВКонтакте → раздел VK Donut нашей группы
#medcase #гинекология #хирургия
Женщина, 50 лет
В течение нескольких месяцев пациентку беспокоит хроническая боль в области таза. В связи с резким усилением болей за последние 2 суток и вздутием живота, пациентка вызвала скорую.
При отмечается вздутие живота и болезненность в правом нижнем квадранте. Дизурических симптомов нет.
УЗИ: матка не изменена, справа от нее расположены два образования: одно гипоэхогенное, размерами 14х10 см, с с солидным компонентом, второе образование размерами 6х5 см кистозно-солидной структуры, вероятно исходит из правых придатков, по IOTA M3.
📌 Из-за изменений в алгоритмах ВКонтакте мы вынуждены публиковать только анонсы.
Подробнее — vk.com/wall-82566597_45225
Полная версия кейса:
🔹 В Telegram → t.me/medcaseonline
🔹 По подписке во ВКонтакте → раздел VK Donut нашей группы
#medcase #гинекология #хирургия
Показать больше
2 мс. назад
Необычная опухоль у бифуркации аорты
Мужчина, 39 лет
Обратился в отделение неотложной помощи с жалобами на боль внизу живота, которая беспокоила его в течение суток. АД 203/132 мм рт. ст.
При осмотре определяется болезненность в надлобковой области.
КТ ОБП: обнаружено забрюшинное образование ниже бифуркации аорты (рис. A, звездочка).
📌 Из-за изменений в алгоритмах ВКонтакте мы вынуждены публиковать только анонсы.
Подробнее — vk.com/wall-82566597_45225
Полная версия кейса:
🔹 В Telegram → t.me/medcaseonline
🔹 По подписке во ВКонтакте → раздел VK Donut нашей группы
#medcase #хирургия #онкология #физиология
Мужчина, 39 лет
Обратился в отделение неотложной помощи с жалобами на боль внизу живота, которая беспокоила его в течение суток. АД 203/132 мм рт. ст.
При осмотре определяется болезненность в надлобковой области.
КТ ОБП: обнаружено забрюшинное образование ниже бифуркации аорты (рис. A, звездочка).
📌 Из-за изменений в алгоритмах ВКонтакте мы вынуждены публиковать только анонсы.
Подробнее — vk.com/wall-82566597_45225
Полная версия кейса:
🔹 В Telegram → t.me/medcaseonline
🔹 По подписке во ВКонтакте → раздел VK Donut нашей группы
#medcase #хирургия #онкология #физиология
Показать больше
2 мс. назад
Образование в ягодичной области у пациента с множественной миеломой
Женщина, 78 лет
В анамнезе множественная миелома и AL-амилоидоз. В 2022 году проведен курс лечения бортезомибом, леналидомидом и дексаметазоном (VRD), отмечен полный ответа на лечение.
Жалобы на появление образования в ягодичной области, пациентка отмечает быстрый рост образования за 2 месяца. Она регулярно наблюдается в гематологическом отделении и амбулаторной клинике и в настоящий момент не получает поддерживающую терапию.
📌 Из-за изменений в алгоритмах ВКонтакте мы вынуждены публиковать только анонсы.
Подробнее — vk.com/wall-82566597_45225
Полная версия кейса:
🔹 В Telegram → t.me/medcaseonline
🔹 По подписке во ВКонтакте → раздел VK Donut нашей группы
#medcase #онкология #терапия #хирургия #лучеваятерапия
Женщина, 78 лет
В анамнезе множественная миелома и AL-амилоидоз. В 2022 году проведен курс лечения бортезомибом, леналидомидом и дексаметазоном (VRD), отмечен полный ответа на лечение.
Жалобы на появление образования в ягодичной области, пациентка отмечает быстрый рост образования за 2 месяца. Она регулярно наблюдается в гематологическом отделении и амбулаторной клинике и в настоящий момент не получает поддерживающую терапию.
📌 Из-за изменений в алгоритмах ВКонтакте мы вынуждены публиковать только анонсы.
Подробнее — vk.com/wall-82566597_45225
Полная версия кейса:
🔹 В Telegram → t.me/medcaseonline
🔹 По подписке во ВКонтакте → раздел VK Donut нашей группы
#medcase #онкология #терапия #хирургия #лучеваятерапия
Показать больше
2 мс. назад
Свернувшаяся спинномозговая жидкость и паралич ног
Мужчина, 64 года
В течение недели у пациента наблюдалась прогрессирующая двусторонняя слабость в ногах.
При неврологическом обследовании выявлен паралич ног и снижение чувствительности, начиная с уровня L1–L2.
📌 Из-за изменений в алгоритмах ВКонтакте мы вынуждены публиковать только анонсы.
Подробнее — vk.com/wall-82566597_45225
Полная версия кейса:
🔹 В Telegram → t.me/medcaseonline
🔹 По подписке во ВКонтакте → раздел VK Donut нашей группы
#medcase #нейрохирургия #терапия #неврология #хирургия
Мужчина, 64 года
В течение недели у пациента наблюдалась прогрессирующая двусторонняя слабость в ногах.
При неврологическом обследовании выявлен паралич ног и снижение чувствительности, начиная с уровня L1–L2.
📌 Из-за изменений в алгоритмах ВКонтакте мы вынуждены публиковать только анонсы.
Подробнее — vk.com/wall-82566597_45225
Полная версия кейса:
🔹 В Telegram → t.me/medcaseonline
🔹 По подписке во ВКонтакте → раздел VK Donut нашей группы
#medcase #нейрохирургия #терапия #неврология #хирургия
Показать больше
При финансовой поддержке
Memes Admin
4 мс. назад